El Odontólogo Invitado
 Carlos Bóveda Z.

Home Page

Odontólogos

Pacientes

Casos Clínicos

La Columna Dental

Endodoncia Interactiva

Links Endodónticos

Odontoinvitado

Eventos

UCV Endo

Contáctenos

 

Invitado # 29 : (Enero 2003)

"Autotransplante Dental (De Tercer Molar a Central)"

por Dr. Arturo Barzuna Ulloa (1), Dr. Mayid Barzuna Ulloa (2) y Est. Karina Barzuna Lacayo (3)

(1) Cirujano Dentista, Practica Privada, (2) Profesor de Endodoncia de la Universidad Latinoamericana de Ciencia y Tecnología de Costa Rica, (3) Estudiante de ultimo año de ULACIT.

e-mail: accocrmbarzuna@mail.telcom.net

 

Resumen

Un trasplante dental es un tratamiento que se ha venido realizado desde hace varios años atrás, pero el cual no había tenido mucho éxito, ya que la pieza trasplantada sufría de reabsorción sustitutiva o inflamatoria, lo que producía el fracaso del tratamiento. En la actualidad diferentes estudio han demostrado resultados sorprendentes, en los cuales se ha logrado mantener la pieza trasplantada en boca con toda su integridad y función. Este artículo presenta un caso clínico de autotrasplante de un tercer molar superior a posición de un central superior, con su respectivo tratamiento de hidróxido de calcio para evitar reabsorción, hasta llegado el momento de su obturación definitiva con su restauración cosmetológica correspondiente. Con un seguimiento de 4 años 9 meses, no presentando sintomatología alguna y radiográficamente estable.

Summary

A dental transplant is a processing that has been coming made for several years back, but which had not been much successful, since the transplanted piece suffered of substitute or inflammatory resorption, which produced the failure of the processing. At the present time different study has demonstrated surprising results, in which it has been managed to maintain the piece transplanted in mouth with all his integrity and function. This article appears a clinical case of autotrasplantation of third molar superior to position of a central superior tooth, with its respective processing of calcium hydroxid to avoid resorption, until arrived the moment from its definitive clogging with its corresponding cosmetology restoration. With a pursuit of 4 years 9 months, not presenting/displaying sintomatology and radiographiclly stable.

 

Introducción

Un Autotrasplante dental, es "el trasplante de un diente de un sitio a otro en un mismo individuo, involucra el traspaso de un diente incluido, retenido o erupcionado, a un sitio donde se acaba de realizar una extracción, o hacia un alveolo creado quirúrgicamente." También se pueden considerar autotrasplantes, los procesos de trasplante intra-alveolar, el cual involucra los procesos de reposicionamiento quirúrgico y la extracción quirúrgica, ya que tiene el mismo proceso de sanado, al igual que el trasplante intencional. (1)

Este proceso de autotrasplante es utilizado cuando se han agotado todos los posibles tratamientos convencionales para salvar una pieza dental. Se recomienda luego de realizar una cuidadosa anamnesis al paciente, un minucioso examen clínico y radiográfico, en el cual se debe tomar en cuanta tanto la medida del diente a trasplantar como la medida del sitio al cual será transplantado, la forma de su raíz, y el ligamento parodontal remanente.

Es muy importante en estos caso dar a conocer al paciente todo el tratamiento que se le realizará, así como su posible fracaso durante y después de la cirugía, y las distintas opciones de tratamiento en caso del fracaso.

 

Antecedentes

En el pasado, la odontología se concentraba principalmente en la extracción de los dientes y el reemplazo de éstos con dentaduras postizas. Para estas dentaduras se utilizaron los dientes de animales, huesos, marfil y los dientes de humanos extraídos de personas con enfermedades, pero ninguno de estos era aceptable por la decoloración, mal olor y debilidad en la estructura. (1)

En el siglo XI el medico árabe Albucasis fue el primero en mencionar un intento de reimplante, recomendaba la ligadura de los dientes flojos e incluso el volver a colocar los dientes caídos y atarlos con alambre para estabilizarlos. (2)

Ambrose Paré introduce su técnica en 1561, declarando que los dientes podridos se podían reemplazar con los dientes extraídos de otros individuos. (1)

John Hunter de Inglaterra, en el siglo XVIII describe en su publicación "The Natural History of Human Teeth", que luego de que un diente animal o humano se transplantaba en la cresta de un gallo, se adhería en cualquier lado de la cresta por vasos, en forma similar a la unión de un diente con la encía y alveolo. (1)

Hunter también describió los fenómenos de reabsorción radicular después del trasplante de dientes en humanos. (2)

Los trasplantes se volvieron muy famosos durante el siglo XVIII pero con la divulgación de repetidos fracasos y el reconocimiento del riesgo de transmisión de enfermedades, como la sífilis, cayeron en desuso. (2)

En 1950 empiezan a aparecer en la literatura dental los autotrasplantes. Son aplicados por primera vez en Estado Unidos por Apfel y Miller. El concepto era que luego de la extracción de un primer molar, éste se podía reemplazar con el trasplante de un tercer molar impactado que se encontraba en desarrollo. El porcentaje de éxito que tenían estos autotrasplantes era del 50%, la razón del fracaso era que el diente trasplantado no continuaba su desarrollo o sus raíces se empezaban a reabsorber. Luego de esto, los autotrasplantes desaparecieron como tratamiento.

Recientemente los autotrasplantes han empezado a ganar terreno de nuevo, sobre todo porque las investigaciones sobre el sanado del ligamento parodontal luego del autotransplante han dado información que se puede aplicar al proceso. Como resultado de esta información el porcentaje de éxito a aumentado. (1)

 

Marco Teórico

Un autotrasplante dental incluye tres procesos separados:

1. Trasplante: en el cual el diente es extraído de su alveolo y trasladado a otro alveolo de la misma persona.

2. Reimplante accidental o intencional: cirugía de reposicionamiento de un diente en su mismo alveolo.

3. Reimplantación intencional: en la que un diente es extraído de su alveolo deliberadamente para realizar el tratamiento endodóntico y la apicectomía, para luego reposicionarlo en su alveolo. (1)

Para poder tener un mejor pronóstico de cicatrización a futuro o poder reconocer la reabsorción se debe tomar en cuenta el mecanismo de sanado de un autotrasplante, el cual consta de cinco factores: el sanado del ligamento parodontal, el mecanismo de reabsorción radicular, sanado del tejido gingival, sanado del hueso alveolar y sanado de la pulpa y continuación del desarrollo radicular.

El sanado del ligamento parodontal luego de un autotrasplante, según diferentes autores 5,6,7,8, ocurre de la siguiente manera:

ccccc

1 semana

Se forma un coágulo sanguíneo alrededor del diente

2 semana

El coaguló sanguíneo es reemplazado por tejido de granulación, el cual provee un ambiente favorable al ligamento parodontal, brindándole nutrientes y preparando la fase de unión del tejido conectivo.

3 a 4 semanas

Se ha formado un contenido en el alveolo que incluye fibras de Sharpey nuevas

2 a 6 meses

Tejido de granulación y hueso inmaduro son reemplazados gradualmente por hueso maduro. (1)

El mecanismo de reabsorción radicular se clasifica en tres grupos: reabsorción sustitutiva, reabsorción inflamatoria y reabsorción superficial. Se ha demostrado que la extensión del ligamento parodontal perdido y la existencia de infección pulpar determinan que tipo de reabsorción se producirá.(1)

La reabsorción sustitutiva es el resultado de la extensa lesión de la capa mas interna del ligamento parodontal y aparentemente, también del cemento. La cicatrización se produce a partir del hueso adyacente, formándose una anquilosis. La patogenia de este tipo de reabsorción se manifiesta de dos formas: reabsorción sustitutiva permanente, en la cual se reabsorbe gradualmente toda la raíz; o reabsorción sustitutiva transitoria, en la que una anquilosis ya establecida desaparece posteriormente.

La reabsorción inflamatoria se da como resultado de la lesión a la capa mas interna del ligamento parodontal y posiblemente del cemento, lo que provoca un profundo ataque osteoclástico de la superficie radicular que expone los túbulos dentinarios. Cuando estos conductillos se comunican con bacterias de origen pulpar se produce una actividad continuada del proceso de reabsorción. Si el estímulo bacteriano es débil o si se hace un tratamiento radicular es posible la curación; de lo contrario, la reabsorción continuara hasta que el tejido de granulación haya penetrado en el conducto radicular. (2)

La reabsorción superficial es una reabsorción relativamente menor y transitoria en la cual la reabsorción inicial ha sido reparada por una nueva adhesión. Esta limitada al cemento o dentina, es el resultado una cirugía parcial limitada al ligamento parodontal y es transitoria cuando la reparación toma lugar. (1)

La cicatrización del tejido gingival es aumentado al colocar las fibras del ligamento parodontal del diente donador 1 mm por encima de la cresta alveolar. El tejido conectivo gingival, debe ser suturado firmemente en contacto con 1 mm del ligamento parodontal de la raíz. (1)

La cicatrización del hueso alveolar se puede esperar cuando el ligamento parodontal del diente donador esta presente. Estudios han demostrado que el ligamento parodontal del diente transplantado forma tejido alveolar alrededor de la raíz.

El sanado de la pulpa después del autotrasplante se da de la siguiente manera:

ccccc

3 días

se observan modificaciones de la pulpa con evidente necrosis pulpar en la parte coronaria.

4 días

se da un proceso de revascularizacion que inicia en el foramen apical, gradualmente, el tejido pulpar dañado es sustituido por células mesenquimatosas y capilares en proliferación.

4-5 semanas

Por lo general el proceso de revascularización esta concluido, produciéndose la cicatrización. (3)

El autotrasplante de dientes jóvenes se divide actualmente en dientes completamente formados y en gérmenes dentales a ser transplantados. El éxito de un transplante depende de la atención cuidadosa durante la extracción y la preparación del alveolo y del grado de adaptación a las localizaciones de histocompatibilidad. El autotrasplante de un germen dental tiene un mejor pronostico al tratamiento, dado a la mayor vascularidad que presenta. (2)

Son varias las indicaciones clínicas para realizar un autotrasplante; la razón mas común, es el reemplazo de un primer o segundo molar los cuales presentan grandes caries, complicaciones marginales o periapicales, o fracturas, por un tercer molar. También en los casos en donde hay ausencia congénita, generalmente de los segundos premolares, o en la región anterior, por la perdida accidental de algún incisivo, si el tamaño del diente donador es apropiado.(3) No se utilizan únicamente los terceros molares como donadores de autotrasplantes, también se pueden utilizar los caninos o premolares que se encuentran en mala posición o retenidos.

Dentro de los factores preoperatorios, para realizar un autotrasplante, se deben tomar en cuenta:

Los factores de edad y salud del paciente: son muy importantes ya que es un procedimiento quirúrgico, el paciente no debe presentar problemas sistémicos. En pacientes jóvenes y que no presenten enfermedades metabólicas hay un mejor pronostico. (1)

Los factores del diente donador:

- Debe ser un diente no funcional, pero debe tener raíces apropiadas. El estado de desarrollo de las raíces es muy importante, si las raíces se encuentran en desarrollo la extracción de la pieza es mas fácil y tienen un potencial de sanado muy bueno. La raíz debe presentar un estado de desarrollo avanzado, entre 4 y 5, si el estadio es menor a 4 las raíces no se van a desarrollar, y si es mayor a 5, no se debe esperar un sanado pulpar.

- La forma de la raíz idealmente debe ser cónica y única, los dientes con raíces muy largas, separadas y curvas tienen la tendencia de causar un trauma al ligamento periodontal durante la extracción o el trasplante, y hace el tratamiento mas difícil. Los dientes con raíces muy cortas tienen la tendencia a formar bolsas parodontales en el sitio de la furca luego del trasplante.

- Cuando hay mas de dos diente disponibles para el trasplante, se debe escoger de acuerdo a la forma de la corona, los terceros molares mandibulares son mas parecidos a otros molares mandibulares que los terceros molares maxilares, en su forma y mas fáciles de colocar.

Factores del sitio receptor: El alveolo receptor debe ser lo suficientemente hondo y ancho para recibir el diente donador. Durante la preparación quirúrgica se debe tratar de dejar intactas las tablas corticales externas, con un espesor mínimo de 0.5 mm, debe quedar un espacio entre el diente implantado y el alveolo para evitar la anquilosis. En los casos en los que se realiza la extracción del diente desechado el mismo día del trasplante, la presencia de ligamento parodontal en las paredes del hueso alveolar, ayuda a tener una mejor cicatrización.

 

Objetivo

El objetivo de este estudio consiste en corroborar la técnica clínica de Autotrasplante propuesta por Andreassen, por medio de un caso clínico, en donde se le daría seguimiento a distancia.

 

Reporte de un Caso Clínico

Se presenta a valoración un paciente masculino, 30 años, proveniente de la provincia de Alajuela, Costa Rica. con la queja principal que en la pieza 1.1 tiene dolor persistente con el antecedente de haberse realizado dos veces tratamiento de endodoncia, espiga y corona, y dos veces apicectomía.

Se tomó radiografía panorámica (fig. 1) encontrando que el tercer molar superior derecho está erupcionado y el ápice cerrado, no teniendo antagonista y estando fuera de oclusión. Además de la periapical de la región anterior (fig. 1a).

 

Fig. 1 Se observa pieza 1.8 erupcionada, ápice cerrado, fuera de oclusión, ausencia de antagonista

fig. 1ª: En la radiografía periapical se observa una espiga demasiado ancha y sobreobturación.

Clínicamente el 1.1 se observa tanto en vestibular como palatino una corona con poca estética (fig. 2 y 3)

Fig. 2 Vista vestibular, corona con poca estética
Fig. 3. Vista palatina de 1.1, corona con poca estética.

Se le explica al paciente sobre la decisión de hacer un autotrasplante y las posibles ventajas y desventajas a las que estaría expuesto.

Una vez dado el consentimiento del paciente, se programa la cirugía, recomendando cubrirse con antibiótico (Dalacin C) por 6 días antes, durante y después del tratamiento. Además se confecciona una prótesis removible por si ocurre un fracaso en la cirugía. (fig. 4)

Fig. 4. Confección de prótesis removible como prevención del fracaso

Se desinfecta en diente donador por medio de glutalaldheido y se procede anestesiar tanto el diente donador, como el sitio receptor.

Se extrae el diente del sitio receptor (fig. 5 y 6) con mucho cuidado de no lesionar los tabiques óseos que separan los dientes adyacentes. El tejido de granulación se debe eliminar con una cureta.

 
Fig. 5 y 6. Extracción de la pieza del sitio receptor, con cuidado de no lesionar los tabiques óseos que separan los dientes adyacentes.

 

El tabique alveolar se elimina con una fresa quirúrgica hasta la base del alveolo, se prepara el nicho con fresas de diversos calibres usadas en implantologia, luego se lava con abundante suero fisiológico y se cubre con una gasa para no contaminar con saliva.

Posteriormente se procede a extraer el diente donador, lo más atraumáticamente posible, y se evalúa la medida, en caso de que no se acomode en el sitio receptor, habría que ayudarse con fresas quirúrgicas con irrigación simultánea con suero fisiológico como fue el caso (fig. 7)

Fig. 7. Preparación del sitio receptor con brocas quirúrgicos e irrigación simultánea con suero fisiológico.

El trasplante se debe probar en su nuevo alveolo (Fig. 8), donde debe ser posible una ligera rotación. Se recomienda colocar el injerto al mismo nivel de erupción que ocupaba antes de la extracción o un poco más erupcionado.

Fig. 8. Colocación del trasplante en el sitio receptor.

Luego se feruliza con sutura y se hace un ajuste oclusal. (fig. 9). Posteriormente se feruliza con alambre (fig. 10), y cemento periodontal quirúrgico de fotocurado. (fig. 11).

Fig. 9 Sutura y Ajuste oclusal Fig. 10 Ferulización con alambre

 

Fig. 11. Cemento periodontal quirúrgico de fotocurado.

Se le da cita de control a los 10 días. Donde el paciente se presenta asintomático. Se retiran suturas. Se programa cita en 10 días para realizar el tratamiento de endodoncia.

 
Fig. 12 Cita control a los 10 días de haber realizado trasplante.

Pasado el tiempo se presenta el paciente se procede a aislar la pieza tomando como anclaje de las grapas del dique de hule, las piezas vecinas para de esta forma, proceder a retirar el paquete vasculonervioso (fig. 13 y 14). se instrumenta y se rellena el conducto con hidróxido de calcio (fig. 15); llegando a hacer intercambios del mismo cada 2 meses, durante 1 año.

 
Fig. 13. Se aísla con dique de hule, se toman de anclaje para las grapas las piezas vecinas

Fig. 14. Se retira el paquete vasculonervioso y se instrumenta.

Fig. 15. Se deja la pieza con hidróxido de calcio.

En esta cita se aprovecha para quitar la férula y así evitar la anquilosis o la reabsorción sustitutiva y hacer una mejor estética. (fig. 16)

Fig. 16 Cosmetología en el diente donador para mejorar la estética

Al cabo de 12 meses de tratamiento de la reabsorción y estado asintomático, el paciente se presenta a obturar el conducto, (fig. 17), para en la cita siguiente terminar la cosmetología. (fig. 18)

Fig. 17. Obturación del conducto del diente donador
Fig. 18. Cosmetología final de la pieza trasplantada. 1 año después.

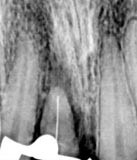
Se da seguimiento del caso con toma de radiografías y sintomatología, estando presente la pieza por un lapso al día de hoy de 4 años y 9 meses. Fig. (19)

 
Fig. 19. Radiografía tomada a los 4 años, 9 meses de haberse realizado el tratamiento.

Discusión

El cultivo de tejidos previo al tratamiento se viene utilizando en medicina desde hace mucho tiempo para los injertos de piel a fin de eliminar la incompatibilidad hística. La explicación de la aceptación de los injertos es todavía hipotética, esto es porque se supone que el trasplante se reendoteliza o bien que los linfocitos "pasajeros" del tejido trasplantado se pierden, o que el cultivo "modifica la configuración" de los antígenos en la superficie celular. 9

La tasa de éxito del trasplante depende también de la disponibilidad de órganos donantes como sitio receptor, así como de las reacciones de rechazo y de la cantidad de tejido lesionado que puede tolerar el injerto sin perder su función eficaz. 2

Se podría pensar que la pieza pudo haber penetrado más en el alveolo a la hora de hacer el espacio, así de esta manera no hubiera tenido perdida de la cresta ósea por mesial y distal, además de, en vez de presentar movilidad dos, tendría uno.

Hay que recalcar la buena higiene y técnica de cepillado correcto que debe tener el paciente para poder mantener la pieza en buen estado de salud.

Otro detalle importante de hacer notar es encontrar al paciente ideal, aquel que es positivo, acude a los controles y pone todo de su parte para que resulte exitoso el tratamiento.

 

Conclusiones

ccccc

1.

Siguiendo un protocolo correcto con relación a escogencia del paciente, en cuanto a su edad y condición sistémica además de los factores del sitio receptor y pieza donadora, aumentará el porcentaje de éxito en la intervención.

2.

El mecanismo de sanado de un autotrasplante, consta de cinco factores, los cuales se deben de tomar en cuenta para alcanzar el éxito del tratamiento, estos factores son: el sanado del ligamento parodontal, el mecanismo de reabsorción radicular, sanado del tejido gingival, sanado del hueso alveolar y sanado de la pulpa en caso de estar vital o por el contrario el tratamiento respectivo para evitar la reabsorción.

3.

Para llevar a cabo un caso de autotrasplante dental es importante tener la capacitación necesaria, el equipo e instrumentación adecuados, para aumentar el éxito del tratamiento.

4.

En este caso clínico específico se a dado seguimiento por un lapso de tiempo de 4 años y 9 meses, sin tener sintomatología y radiográficamente estable, haciendo suponer que se alcanzó el éxito deseado.

Recomendaciones

ccccc

1.

Difundir resultados de casos de autotrasplantes por medio de conferencias y publicaciones.

2.

Promover el que se impartan en Costa Rica cursos específicos del tema autotrasplantes.

3.

Motivar a que se realicen trabajos o tesis de graduación y estudios específicos concernientes al autotrasplante.

Bibliografía

1. Tsukiboshi, Mitsuhiro, DDS. "Autotransplantation of teeth". Quintessence Publishing Co, Inc. Japan. 2001. pp 10 &endash; 96

2. Barzuna, Mayid. "Transplante Dental: Alternativa real de los 90´s. XI" Congreso Científico Odontológico. Costa Rica.

3. Andreasen, J.O. "Reimplantación y Transplante en Odontología". Editorial Medica Panamericana S.A. 1ra. Ed., 1992. pp. 111 &endash; 133.

4. Barquero F, Verónica. Longan Z, Silvia. "Análisis de los factores pre, trans y postoperatorios que inciden en los autotrasplantes y alotrasplantes y la formulación de un método de utilización futuro de la criobiología a nivel institucional". Tesis para optar por el grado de Lic. Odontológica. Casta Rica. 2001.

5. Roberts, W.E., Chamberlain, J.G. "Scanning electron microscopy of the cellular elements of rat periodontal ligament". Arch. Oral Biot. 1978.

6. Beertsen, W., Everts, U. "Junctions between fibroblasts in mouses periodontal ligament" J. Peridont. Res, 15: pp 655-68. 1980.

7. Garant, p.R. " Collagen resorption by fibroblast. A theory of fibroblastic maintenance of the periodontal ligament" J. Peridontal, 47: pp380-90, 1976.

8. Deporter, D.A "Ten Cate A.R. Collagen resorption by periodontal ligament fibroblasts at the hard tissue-ligament interfaces of the mouse periodontium". J. Periodontot. 51: pp 429-32. 1980.

9. Jacobs, B.B J.A.M.A; 223: pp 256, 1973.

Invitados Anteriores y sus Trabajos

1
Dr. Tomás J. Seif
"El mal aliento : causas y tratamiento"
2
Dr. Antonio Gordils
" Aparato y proceso para la colocación paralela de implantes oseointegrados tipo cilíndrico : El Dispositivo Gordils."
3
Dra. Andreína Avendaño
" Verificación de la esterilidad de las puntas de papel absorbente utilizadas en la terapia endodóntica"
4
Dr. Luis Ney Quiterio
" Tratamiento Endodóntico en Una Sesión"
5
Dra. Andreína Avendaño
" El Síndrome del Diente Fisurado : Etiología, Diagnóstico y Tratamiento"
6
Dr. Miguel Hirschhaut
" Tratamiento Interdisciplinario Ortodoncia - Prótesis"
7
Dra. Elsa Di Giuseppe
" Aplicación Clínica del Agregado Trióxido Mineral (MTA) en Endodoncia"
8
Dra. Concetina Petrocco
" Urgencias Endodónticas"
9
Dra. Marcela P. Jímenez
"Restauración de Dientes Tratados Endodónticamente con Muñones de Resina Reforzada con Fibras de Vidrio. Caso Clínico"
10
Dr. Luis A. Jímenez
"Dolor Pulpar Agudo. Consideraciones Anatomofisiológicas"
11
Dr. Daniel E. García
"Uso del Acido Etilendiamino Tetraacético (EDTA) en la Terapia Endodóntica"
12
Dr. Daniel E. García y Dr. Luis A. Jímenez
"Conceptos Actuales en Relación a las Pruebas de Vitalidad Pulpar"
13
Dra. Maytte Marcano C.
"Prevención y Tratamiento de los Accidentes Durante la Terapia Endodóntica"
14
Dra. Edna Jaquez B.
"Lesiones EndoPeriodontales"
15
Dra. Sandra Sansano
"Relevancia del Dolor en el Diagnóstico Pulpar"
16
Dra. Monica Topalian
"Adhesión en la Restauración de Dientes Tratados Endodónticamente"
17
Dra. Maria E. Carvallo
"Efectos del Bruxismo sobre el Complejo Dentino-Pulpar"
18
Dra. Edna Jaquez B & Dra. Maytte Marcano C.
"Una Visión Actualizada del Uso del Hipoclorito de Sodio en Endodoncia"
19
Dra. Katherine Medina
"Visión Actualizada de la Irrigación en Endodoncia : Más Allá del Hipoclorito de Sodio"
20
Dra. Lisette Ramirez
"Visión Actualizada de la Radiología en Endodoncia"
21
Dr. Carlos García Puente
"Estado Actual del Instrumental en Endodoncia - Parte I : A Donde Vamos?"
22
Dra. Sandra Sansano
"Cambios Histológicos Inducidos por la Edad en la Pulpa, Dentina y Cemento Dental"
23
Dra. Monica Topalian
"Efectos Citotóxicos de los Cementos Selladores Utilizados en Endodoncia Sobre El Tejido Pulpar"
24
Dra. Arelys Villasana
"Patología Pulpar y su Diagnóstico"
25
Dra. Alessandra Alvarado
"Patología Endodóntica Peri-Radicular y su Diagnóstico"
26
Dr. Miguel Hirschhaut
"Erupción Ortodóncica Forzada con Fines Pre-Protésicos: Reporte de 3 Casos Clínicos"
27
Dra. Lisette Ramirez R.
"Etiología, Diagnóstico, Tratamiento y Pronóstico de las Resorciones Internas Perforantes y No Perforantes"
28
Dr. Enrique Padrón
"Cambios en la Estructura Dentaria Producto del Tratamiento de Conductos"

 

¿Comentarios? carlosboveda@carlosboveda.com.

 Carlos Bóveda Z.v Marzo 2003
 carlosboveda@carlosboveda.com