Endodoncia Interactiva
Carlos Bóveda Z.

Home Page

Odontólogos

Pacientes

Casos Clínicos

La Columna Dental

Endodoncia Interactiva

Links Endodónticos

Odontoinvitado

Eventos

UCV Endo

Contáctenos

  Respuesta al foro interactivo de Endodoncia

Muchas gracias a las 107 personas que participaron en esta XV edición de nuestro foro enviándonos sus respuestas. Recibimos la participación de odontólogos generales y especialistas de diversas áreas de la odontología y de diversas partes del mundo (Argentina, Brasil, Colombia, Chile, Costa Rica, España, México, Perú y Venezuela), que a continuación vamos a comentar. Primero recordemos el caso:

  Caso # 15, 2a. Parte, Marzo-Abril 2001

La paciente, de 25 años de edad, fue referida a nuestra consulta para evaluar endodónticamente la zona inferior derecha:

vvvv
vv vv
(Haga click en las imágenes para agrandar)

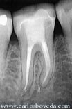
El caso se presentó como un síndorme de diente fisurado en el primer molar inferior derecho (Endodoncia Interactiva, caso # 15, Primera Parte), que fue tratado endodónticamente.

Imágenes clínicas y radiográfico de la condición que presentó el caso y el procedimiento endodóntico realizado (Endodoncia Interactiva, caso # 15, Primera Parte).
z

Al completar el tratamiento se le hace notar a la paciente la condición fisurada de su molar y la conveniencia de restaurarlo con una corona funda. Sin embargo, la idea de tener que desgastar una gran cantidad de tejido para tener una corona en ese diente no le agrada en lo absoluto.

Ante esta situación, se hicieron las siguientes preguntas y se obtuvieron las siguientes respuestas : :

¿ Cree usted pueden y/o deben atenderse los deseos de la paciente ? : :

Estas opiniones de nuestros participantes reflejan sus criterios:

Participante 1.- "si, con un tallado selectivo que proteja las cúspides de trabajo y observar evolución ".

Participante 2.- " Por supuesto que debe de respetarse la opinión del paciente, aunque esta no sea la mas correcta ".

Participante 3.- " Siempre hay que tomar en cuenta los deseos del paciente pero en el caso que se presenta en especifico seria iatrogenico no reforzar la estructura dentaria porque la posibilidad de que avance la fisura y se convierta en una fractura completa (que nos lleve a la exodoncia del diente) es demasiado alta por lo cual yo trataría de convencer al paciente de realizarse el tratamiento restaurador indicado. ".

Participante 4.- " Nao poderia atender aos desejos da paciente, e procuraria explicar-lhe sobre a gravidade de se ter uma fratura vertical no dente. ".

Participante 5.- " Yo pienso que debe hablarse con la paciente y hacerla entrar en razón de que una restauración diferente llevaría a un fracaso del caso, no por causa del tratamiento de conducto, sino por una restauración no adecuada del molar. El paciente siempre tiene la última palabra y en nosotros está que esta sea: "lo que usted aconseje y sea mejor para mí Doctor" ".

Participante 6.- " No creo que se deba manejar con otro tipo de restauración, aun en contra de los deseos de la paciente, pues el riesgo de fractura es alto y las complicaciones que vendrían posteriormente dificultarían aun mas la rehabilitación. ".

Participante 7.- "En lo absoluto, considero que la condición clínica tratada ha sido muy delicada y estamos ante una NECESIDAD inminente de restauración con protección cuspidea y no ante una complacencia o no hacia la paciente. Definitivamente el diente debe ser restaurado, pero bajo una filosofía de tratamiento restaurador conservador. ".

Participante 8.- "Es imperiosa la necesidad de restaurar el molar con una corona funda, por consiguiente le explicaría a la paciente la balanza riesgo beneficio, de esta manera indiscutiblemente, desatendería los deseos de la paciente ".

Participante 9.- "Como profesionista se cumple con decirle a la paciente las condiciones en la que se encuentra su molar y las consecuencias de no atenderlo como uno le indica, si ella quiere conservar su tejido dental lo más íntegro posible, también es válido, después de todo ella es es la que trae las muelas y suya la responsabilidad. Ante esto yo la haría firmar una carta en que me deslinde de cualquier responsabilidad".

Participante 10.- " Es absolutamente necesario colocar la corona sin demora. En una situación igual a esta, con negativa de la paciente coloque una banda de ortodoncia cementada dejando el molar con un ligero contacto oclusal en el centro para evitar la extrusion del antagonista a los tres años mas o menos la fisura se convirtió en fractura y fue necesaria la extracción ".

Participante 11.- " Persuadir al paciente para que permita colocarse la restauración más conveniente de acuerdo a nuestro criterio es importante. Sin embargo su opinión también es válida, y en base a ésta debemos buscar un tratamiento satisfactorio para ambas partes (odontólogo-paciente). ".

Participante 12.- " si, por que el paciente es en definitiva el que asume la decisión siempre dando por sabido que conoce los riesgos. ".

Participante 13.- " Creo que en este caso, se pueden pero no se deben atenderse los deseos de la paciente. Ya que la ausencia de una funda en esta pieza dental terminará muy posiblemente en fractura vertical con su correspondiente exodoncia. ".

Participante 14.- "Usted debe recomendar lo mejor según su criterio para mejor protección de la pieza pero sobre todo del tratamiento realizado y así poder evitar posteriores controversias por no haber hecho lo mejor y si no fueras de ese modo pues entonces deslindarse de toda responsabilidad profesional por no acatar la recomendación dada al paciente sobre el mismo tratamiento restaurativo ".

Participante 15.- " Si, si ella no desea realizarse una corona no la podemos forzar. Sin embargo ella debe firmar que se le explico que el tratamiento indicado es la corona y que bajo su responsabilidad se hace otro tratamiento con duración y pronóstico indeterminado. ".

Participante 16.- "Deberá de rediseñar la atención con le paciente y motivarlo para que reciba un perno muñón corona de lo contrario habrá que explicarle que se le puede fisurar completamente, otra alternativa es restaurarlo con resina o ionomero de reconstrucción de muñones para que quede satisfecho por el momento hasta que lo piense y regrese para hacerle el tratamiento definitivo que es un perno muñón corona".

Participante 17.- "Antes que nada igual que usted , le daría una explicación clara de los riesgos que traería, el no colocarle una corona en ese diente si el paciente aun así se mostrara renuente, le haría firmar un documento donde explicaría el caso de forma pormenorizada , donde salvaría mi responsabilidad del caso . ".

 

¿ Como considera usted entonces que debe restaurarse este molar ? ::

Participante 2.- " Simplemente le sugeriría una protección cuspidea. Además, debe observarse el diente indefinidamente ".

Participante 3.- " Con una corona y en su defecto con una incrustación tipo On-lay adhesiva creo que la ultima opción seria la máxima negociación en cuanto a desgaste de estructura dentaria sana existente que podría llegar con la paciente prefiriendo realmente la realización de una corona completa. ".

Participante 4.- "Com uma protese, uma coroa com protecao de cuspides. ".

Participante 5.- " Con una restauración tipo corona. Podría pensarse en una restauración tipo incrustación con protección cuspídea pero definitivamente me inclino mucho mas por una corona de porcelana. Si se restaura de una forma diferente (amalgama, resina, etc..) mas temprano que tarde se fractura el molar y este se perdería. ".

Participante 7.- "Overlay cerámico. ".

Participante 8.- "Realizar una reconstrucción corono-radicular en un material que sería Amalgama de plata,a manera de core. Desobturo 3 a 4 mm los conductos abajo del piso de cámara y reconstruyo con Ag. Evitaría la colocación de un retenedor intraradicular tipo núcleo colado o prefabricado. considero que existe buen tejido remanente, para una vez, realizada la reconstrucción corono-radicular hacer una talla convencional para corona funda ".

Participante 9.- " En primer lugar haría una corona funda, si no le gusta esta opción trataría con una sobreincrustación, que tampoco le gusta la idea le sugeriría colocar una banda de ortodoncia para fijar la muela y la obturaría con resina epoxyca, sabiendo de la gran adhesión que tienen las nuevas resinas. Que si no le gusta porque se ve muy fea la banda, quizás funcione amarrar con alambre de 0.007" el cuello para que no se mueva y obturar con resina epoxyca. Que tampoco le gusto por que el alambre la va a lastimar, la trataría solo con resina epoxyca, quizás con esto le resuelvo el problema. Si esto tampoco le gusta entonces la mandaría a freír espárragos".

Participante 10.- "si no se coloca la corona y hay una fractura sin afectar la furca intentaría reconstruirla y colocar la corona despuéssi afecta la furca o es una fractura vertical realizaría la exodoncia y colocaría un implante. ".

Participante 11.- " Otra opción para lograr obtener un sellado y retención casi tan efectivos como en una corona individual, podría ser utilizar un onlay de resina fotocurado indirectamente, aprovechando la compatibilidad con el ionómero de vidrio utilizado para sellar el acceso coronal. ".

Participante 12.- " utilizaría una incrustación onlay de porcelana con extensiones hacia vestibular y lingual con la intención de abrazar la corona. la paciente no notaria un gran desgaste de su pieza y vería mejorada su estética en el molar. ".

Participante 13.- "Lo más indicado creo que es la colocación de una funda. ".

Participante 14.- " pues ya que se encuentra fisurada la pieza entonces debemos de protegerla en su totalidad no importa si esta se encuentra aparentemente completa realizando un endoposte o espiga con prótesis completa fija metálica o en porcelana y así poder asegurarle al paciente su mejor conservación y funcion con muy poco riesgos de fracaso prematuro ".

Participante 15.- "con composite, con ajuste oclusal para que reciba menor carga. ".

Participante 16.- "perno muñón corona ".

Participante 17.- "Lo restauraría colocando primero un muñón, donde dicho muñón tomara los tres conductos,con la finalidad de reducir aun mas el riesgo de que la fisura se transforme en fractura y luego para aun reducir mas el riesgo fractura , le colocaríamos su corona ".

 

Comentarios adicionales

Participante 3.- " En estos casos hay que hacerle hincapié al paciente de que complacer sus demandas puede llevar a la perdida definitiva del diente. ".

Participante 4.- " Para melhor esclarecer a paciente faria uma comparacao entre a coroa e uma caixa de sapatos rasgada no fundo sem a tampa. Qualquer pressao aplicada faz a caixa deformar-se, se tiver um rasgo no fundo, pior ainda. Mas se a caixa estiver tampada, tornar-se-a rigida e resistente.Dai a necessidade de se ter uma protecao de cuspides. ".

Participante 5.- "El tratamiento de conducto está precioso.......! ".

Participante 9.- " En algunas ocasiones las sugerencias o deseos de los pacientes nos dan dolor de cabeza, pero son las mejores pruebas de poner nuestra mente a trabajar y encontrar soluciones que ni nos habíamos imaginado. Y como decimos por acá, que me tiren toritos de esos pa' que aprenda ".

Participante 10.- " colocando la corona al molar es necesario darle una buena y ligera oclusión, sin contactos prematuros ni lateralidades para alargar la vida de la pieza, y cuando falle colocar un implante ".

Participante 13.- " Creo que también son necesarios conocer factores como la oclusión, tipo de diente antagonista, presencia de patologías parafuncionales ".

Participante 17.- " Lo acompañaría de un tratamiento de periodoncia, porque se observa ensanchamiento del ligamento tanto por mesial como por distal y a nivel de furca , lo mantendría en observación y le efectuaría seguimiento, la primera al mes y luego cada cuatro meses durante un año . ".

 

Nuestra actitud frente al caso :

En unión a su Prostodoncista, el Dr. Raúl. Zajía B., analizando la condición fisurada de este molar, hecho que determina en este momento la necesidad de una protección cuspídea y un efecto ferrule que tienda a mantener unida la estructura dentaria, y en el propósito de mantener la mayor estructura coronaria posible que satisfaga la inquietud de la paciente, se ejecutó una preparación parcial para ser rehabilitada con una restauración enteramente cerámica.

(Haga click en las imágenes para agrandar)

v v vv
v v v v vvvv
Vistas de la preparación ejecutada.

v v
v v
Modelos de trabajo donde se destaca la preparación y la restauración en el sitio.

Vista interna de la restauración cerámica.

Prueba de la restauración en boca sin cementar.

vvvvv
Vistas finales del caso con la restauración cementada.

(Restauración : Dr. Raúl A. Zajía. B.)

vvvv vvvv

v

Imágenes radiográficas de control a los 6 meses con la restauración.

 Carlos Bóveda Z., Mayo 2001
 carlosboveda@carlosboveda.com