Casos Clínicos
 Carlos Bóveda Z.

 

Home Page

Odontólogos

Pacientes

Casos Clínicos

La Columna Dental

Endodoncia Interactiva

Links Endodónticos

Odontoinvitado

Eventos

UCV Endo

Contáctenos

  El Caso Invitado # 11 : Dra. Andreína Avendaño

Nuestro decimo primer invitado fue la Dra. Andreína Avendaño, Odontólogo de la U.C.V. y egresada del Post Grado de Endodoncia de la misma escuela.

El caso se refiere a la de una paciente femenino de 12 años de edad que se presenta a la Sala Clínica del Post-grado de Endodoncia de la Facultad de Odontología de la UCV en Julio de 1998. A la anamnesis la paciente refiere haber sufrido un traumatismo en la zona anterosuperior izquierda hacía aproximadamente 5 años.

 (haga click en las imágenes para agrandar) 

Radiografía panorámica donde se observa una extensa imagen radiolúcida en relación con los ápices de 21,22,23,24 y 25. En la oportunidad del traumatismo le fue realizado el tratamiento endodóntico del 21.

Al examen clínico podía observarse edema intra y extra-oral en la zona. En la imagen clínica se aprecia a nivel de tejidos blandos el edema a nivel de fondo de vestíbulo de 21, 22 y 23 y una fístula a nivel de encía vestibular del 21; este diente se presenta además con una restauración defectuosa de resina en la cara vestibular. A la evaluación pulpar, el 21 se presenta negativo a las pruebas térmicas y positivo a la percusión vertical y horizontal y a la palpación sobre apical. El 22,23,24 , 25 y 26 respondieron con normalidad a las pruebas pulpares.

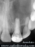
En esta radiografía periapical, puede observase el tratamiento endodóntico defectuoso a nivel del 21, el cual además presenta ápice inmaduro y una restauración coronal defectuosa. Se observa además en detalle la imagen radiolúcida apical en relación con los ápices dentarios.

Radiografía periapical donde se observa el desplazamiento de la raíz dentaria del 23 a causa de la lesión.

Radiografía Oclusal donde puede apreciarse la extensión de la lesión.

El primer procedimiento realizado fue la desobturación del conducto, donde se observó la presencia de un exudado abundante amarillento el cual se controló parcialmente durante la sesión endodóntica en la cual se irrigó con Hipoclorito de Sodio al 5.25% y se procedió a la colocación de Hidróxido de Calcio intraconducto.

Control radiográfico a la semana siguiente a la colocación de la medicación intraconducto.

Un mes después, se procedió a realizar una descompresión o cistostomía en conjunto con un cirujano bucal . En la imagen clínica se observa el levantamiento del colgajo y puede verse la gran pérdida de tabla ósea vestibular y la membrana quística de la lesión.

Durante el procedimiento se realizó una biopsia por punción del contenido de la lesión y de la membrana , diagnosticándose "Quiste Periodóntico Apical".

Fotografía clínica donde se observa la abertura dejada para el proceso de cistostomía o descompresión.

Dispositivo en forma de tapón elaborado con acrílico autopolimerizable colocado en la abertura con la finalidad de mantener el drenaje. Se realizaron lavados inter-diarios de la cavidad quística durante las primeras semanas utilizando una jeringa desechable y solución fisiológica . Posteriormente estos lavados fueron distanciándose y los recambios del hidróxido de calcio intraconducto se realizaron mensualmente.

Rx. Periapical tomada aproximadamente 10 meses después de haber comenzado el procedimiento de descompresión.

Rx oclusal donde puede apreciarse la marcada reparación ósea de la lesión.

12 meses después de comenzar la descompresión se decide obturar definitivamente el conducto lo cual se realiza con la Técnica de Condensación Lateral, utilizando un cono de gutapercha hecho a la medida y como sellador endodóntico Endomethasone. Se planifica entonces la cirugía apical para la eliminación de la lesión remanente, la apicectomía y la obturación retrógrada que nos permita un adecuado sellado del foramen apical.

Fotografía de la intervención quirúrgica realizada en conjunto con un cirujano bucal.

Imagen clínica de la sutura.

Rx final de la Cirugía Endodóntica, en la cual se realizó la enucleación de la lesión, la apicectomía y la retrobturación con cemento Super Eba.

Control Radiográfico a la semana de la intervención. La paciente se encontraba completamente asintomática.

Control Radiográfico a los 6 meses de la intervención, donde se puede apreciar la reparación lograda. La paciente continúa completamente asintomática.

Casos Invitados Anteriores :

# 1 - Dr. Gary Carr

# 2 - Dr. Yosef Nahmias

# 3 - Dr. Peter D. Cancellier

# 4 - Dr. Gary Carr

# 5 - Dr. Yosef Nahmias

# 6 - Dr. Uziel Blumenkranz

# 7 - Dr. Joaquín Pérez-Segura

# 8 - Dr. Uziel Blumenkranz

# 9 - Dr. Yosef Nahmias

# 10 - Dr. Yosef Nahmias

¿Tienes algún caso clínico que le gustaría compartir con todos los visitantes de estas páginas? Por favor, envíanos un correo a carlosboveda@carlosboveda.com.

 Carlos Bóveda Z. Noviembre 2000
 carlosboveda@carlosboveda.com