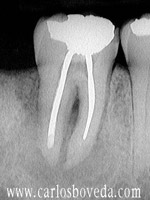
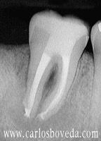
Video de un Retratamiento de Conductos en Una Sesión - (formato Quicktime)

 

 

 

 

 

 paciencia! - dependiendo de su coneccion a internet, este video puede tardar en bajar a su computador