Post Grado de Endodoncia UCV
 Carlos Bóveda Z.

Home Page

Odontólogos

Pacientes

Casos Clínicos

La Columna Dental

Endodoncia Interactiva

Links Endodónticos

Odontoinvitado

Eventos

UCV Endo

Contáctenos

 

 

Tarea # 4 - Endodoncia V - 2001

Fecha y hora límite : Martes 17/07/01, 12:00 m.d.

cccccccccccc

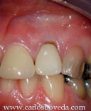
(Haga click en las imágenes para agrandar)

Paciente de 65 años de edad, que es referida a consulta para evaluación y tratamiento endodóntico por sentir una molestia generalizada en el sector anterosuperior del lado izquierdo. Nos indica que viene sintiendo una incomodidad en la zona desde hace aprox 3 meses, en ocasiones espontánea, en ocasiones provocada a la masticación, que si bien no es muy intensa cada vez la "presiente" con mayor frecuencia, y que ultimamente la puede "palpar" al tocarse el fondo del vestibulo en la zona. Nos refiere que la corona del lateral la tiene desde hace aprox 20 años y la siente "floja". También nos comenta que todos los dientes de la zona se muestran ligeramente sensibles cuando se les hace presión en sentido vertical.

 

La tarea consiste en enviar un mensaje a carlosboveda@carlosboveda.com que incluya :

 

- Luego de conocer estos datos aportados por el paciente, como debe completarse la evaluación del caso.

- Respuestas más probables a la evaluación por las evidencias clínicas disponibles en las imágenes.

- Diagnóstico más probable del caso.

- Tratamiento a ejecutar y secuencia detallada del o los procedimientos.

- Cualquier otro comentario que considere pertinente.

 Carlos Bóveda Z. Julio 2001
 carlosboveda@carlosboveda.com