|
Home
Page
Odontólogos
Pacientes
Casos
Clínicos
La
Columna Dental
Endodoncia
Interactiva
Links
Endodónticos
Odontoinvitado
Eventos
UCV
Endo
Contáctenos
|
|
|

Incisivo
Lateral Superior Derecho
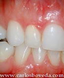
La
paciente, de 29 años de edad, es referida a
nuestra consulta para evaluación
endodóntica del incisivo lateral superior
derecho.
(Haga
click en las imágenes para agrandar)

|
c cc
|
|

|
|
Motivo
de consulta: La paciente viene notando un
oscurecimiento gradual de su diente, que si bien es
leve, le preocupa ya su situación y el hecho
que pueda oscurecerse aún
más.
|
|

|
|
cccc cccc
|
|

|
|
Condición
detallada clínica y radiográfica en
el momento de la evaluación: Notese que este
diente recibió un tratamiento de conductos
16 años atrás (que la paciente
vagamente recuerda). Siempre ha estado
asintomático y en este momento el diente no
se muestra sensible a las pruebas pertinentes. Sin
embargo, como parte del procedimiento de
blanqueamiento se requiere de un acceso al espacio
cameral, y dadas las características del
tratamiento endodóntico presente, se
considera prudente la ejecución de un nuevo
tratamiento de conductos.
|
|

|
|
cc
cc
|
Detalle
del aislamiento y secuencia del nuevo
abordaje y la remoción
mecánica del material obturador
endodóntico.
|
cc
c c
|
|

|
|

|
|
|
|
|

|
|
|
|

|
|
|
|
Una
vez determinada la longitud radicular
electrónicamente se completa la
preparación endodóntica. Un
detalle importante en la fase final de
todo tratamiento endodóntico a ser
obturado con técnicas dependientes
de un cono principal de gutapercha es la
comprobación de su
adaptación, clínica y
radiográfica. Notese como el cono
seleccionado abajo a la izquierda se
"arruga" al ser llevado a la
extensión de la preparación
y buscar fricción. Esto confirma el
tope de la preparación, pero lo
inadecuado de este cono, cosa que no
ocurre con el 2o, más
adecuado.
|
|
|
|
|
|
|
|
|

|

|
|
|
Detalle
de la colocación del sellador y su
aspecto radiovisiográfico. El caso
se completa con la correspondiente
obturación endodóntica y la
colocación de una base profunda de
vidrio ionomérico que facilite el
blanqueamiento y proteja la estabilidad
del procedimiento dentro del conducto.
Notese la correcta apertura vestibular
extendida hasta los cuernos pulpares.
|
|
|

|
|
|
|
|
|
|

|
|
|
|

|
|
|
ccc
ccc ccc
|
|

|
|
|
Imágenes
radiográficas convencionales y
digitales, así como la
condición clínica al
culminar el procedimiento.
|
|

|

|
|
   
|
|
|
|
|
Comparación
clínica entre el aspecto inicial
(izquierda) y el final (derecha) del
diente en relación tan solo al
retratamiento endodóntico. Notese
el evidente aclaramiento logrado en esta
etapa, y la condición entonces a la
que es referida para continuar y completar
su tratamiento estético y
restaurador.
|
|
|
|