Endodoncia Interactiva
Carlos Bóveda Z.

Home Page

Odontólogos

Pacientes

Casos Clínicos

La Columna Dental

Endodoncia Interactiva

Links Endodónticos

Odontoinvitado

Eventos

UCV Endo

Contáctenos

  Respuesta al foro interactivo de Endodoncia

Muchas gracias a las 137 personas que participaron en esta XIX edición de nuestro foro enviándonos sus respuestas. Recibimos la participación de odontólogos generales y especialistas de diversas áreas de la odontología y de diversas partes del mundo (Argentina, Bolivia, Colombia, Chile, El Salvador, España, México, Perú, y Venezuela), que a continuación vamos a comentar. Primero recordemos el caso:

  Caso # 23, Septiembre - Diciembre 2002

Este caso se refiere a la de una colega Odontólogo, de 34 años de edad, quien muestra la siguiente condición clínica:

cccccc cccccc
( Haga click en las imágenes para agrandar)

Nos refiere que, aún cuando no ha tenido ninguna sintomatología endodóntica, una evaluación clínica y radiográfica general muestra la siguiente situación en el sector antero inferior :

Le preocupa el hallazgo en los caninos inferiores. El canino inferior izquierdo responde las pruebas de sensibilidad dentro de los límites de normalidad, mientras que el canino inferior derecho no responde a estas pruebas. En relación a la estimulación de percusión, ambos dientes responden de manera muy similar a cualquier otro diente sano de su boca.

Su historia clinica general no aporta ningún dato relevante, a excepción de haber sido sometida a una cirugía ortognática de reposición mentoniana y su consiguiente tratamiento de ortodoncia, unos 15 años antes de este momento.

Ante la condición actual que muestra la paciente, se hicieron estas preguntas y se recibieron las siguientes respuestas:

¿ Cual es su percepción diagnóstica del caso en este momento? :

Estas opiniones de nuestros participantes reflejan sus criterios:

Participante 1.- " el canino ha cambiado de color y por las pruebas de vitalidad que le han hecho, y no responde ademas por lo que se aprecia en la radiografía, se trata de un canino con conducto calcificado ".

Participante 2.- " la paciente presenta la probabilidad de haber sido afectada en su sensibilidad posiblemente a causa de la sección al realizar el tratamiento de cirugía ortognática. Además, radiográficamente se aprecia una probable reabsorción interna en la pieza 4.3¨

Participante 3.- " necrosis pulpar del canino inferior derecho, el derecho está en buenas condiciones todo debido a la cirugía y tratamientos anteriores. ".

Participante 4.- " Canino inferior izquierdo conducto calcificado. Canino inferior derecho reabsorción interna sector medio apical, ambos producidos (tanto la calcificación como la reabsorción interna) por el traumatismo de la cirugía ortognática realizada hace 15 años. ".

Participante 5.- " el canino inferior derecho presenta una calcificación total de cámara y conducto, por lo se aprecia en la radiografía diagnostica y por lo tanto el remanente pulpar puede que esté necrótico, de ahí que no responde a las pruebas térmicas. El canino izquierdo a mi parecer tiene una reabsorción interna a nivel del tercio medio y apical ".

Participante 6.- " aparentemente existe una calcificación del conducto en el 43 y una reabsorción en el 33 ".

Participante 7.- " Puede haber una necrosis en 43, lo cual indicaría endodoncia, lo que hace dudar es el hacho de haberse sometido a una cirugía ortognática y ortodoncia; eso puede haber producido alguna alteración pulpar aunque en la radiografía no se nota ninguna imagen ni ensanchamiento del ligamento, pero hay cambio de color en la corona clínica del diente en referencia ".

Participante 8.- " conociendo científicamente que la mayoría de los procesos pulpares son asintomáticos, sumando a esto el antecedente previo de una cirugía ortognática, mas las imágenes periradiculares visibles a las Rx , podríamos estar frene a una muerte pulpar , de ambos caninos, se estarían originado lesiones endoperiodontales, con perdida osea complicada. ".

Participante 9.- " por lo que puedo entender de la historia clinica,y de las radiografias, en el canino inferior derecho se puede observar aparentemente,una endorizalisis, seria bueno contar con estudios radiográficos de años anteriores para tener una historia del proceso que se observa en el conducto. ".

Participante 10.- " Canino inferior izquierdo.- Pulposis cálcica. Me extraña sobremanera que responda a las pruebas de vitalidad igual a otra piezas dentarias, sobre todo al primer premolar el cual presenta una obturación profunda y tiene cámara pulpar amplia. Preferiría volverlas a tomar. Canino inferior derecho.- Pulposis cálcica . No tan severa como la del canino izquierdo. Me llama la atención que el tercio apical se aprecie notablemente más amplio el conducto radicular, dando la impresión de una reabsorción dentinaria interna o tal vez se deba a su anatomía, preferiría revisar radiografías con otra angulación y contraste, y el oscurecimiento de la corona clínica que podría deberse a que estamos ya ante una necrosis. Los resultados de las pruebas de vitalidad son más acordes, que el canino izquierdo, a los hallazgos clínicos y radiográficos. ".

Participante 11.- " Reabsorción dentaria interna en el canino izquierdo, y calcificación distrofica de la pulpa en el canino derecho ".

Participante 12.- " El canino inferior derecho presenta una obliteración del conducto posiblemente debida al trauma de la intervención quirúrgica por eso no responde a las pruebas de sensibilidad. El canino izquierdo presenta una reabsorción dentinaria interna , posiblemente con la misma etiología ".

Participante 13.- " Una probable calcificación distrofica (obliteración del conducto radicular del canino inferior derecho),lo considero así porque radiograficamente no se aprecia la luz del conducto en ninguna de las dos tomas radiográficas y porque menciona no responder a las pruebas de sensibilidad, esto posiblemente fue provocado por la reposición quirúrgica mentoniana ligada a la tracción con braquets, ".

Participante 14.- " Calcificación del canino inferior izquierdo y reabsorción interna a la altura del tercio inferior de la raíz del canino inferior derecho; sobre esto a nivel del tercio coronal de la raíz se ha obliterado un poco el conducto como respuesta ante el ataque bacteriano (formación de dentina terciaria o reparativa). Me parece extraño la respuesta a estímulos en el izquierdo pero creo que puede ser una respuesta del ligamento periodontal por traspase del estímulo a través de prismas y túbulos. Sin duda el hecho de que no se produzca respuesta a estímulos por parte de la pieza inferior derecha, nos indica la existencia de una necrosis ".

Participante 15.- " A mi parecer los caninos sufrieron daño pulpar por el tratamiento de ortodoncia viendose más afectado el canino inf. derecho. Tal vez las fuerzas ortodoncicas fueron muy intensas y a lo mejor se implantaron muy rápido luego de la cirugía ".

Participante 16.- " De acuerdo con Seltzer y Bender[1],1987 "se puede causar daño después del movimiento dental apresurado". Ahora bien, si revisamos los datos obtenidos tenemos: En el DIENTE 43 (CANINO DERECHO): 1)Cambio de coloración (hacia un tono amarillento) 2)Obliteración de la cámara pulpar y conducto (calcificada); la cual se observa radiográficamente. 3)No hay respuesta de sensibilidad pulpar dentro de los límites de la normalidad. 4)Responde a la percusión dentro de los límites de la normalidad. En este diente mi diagnóstico es una PULPITIS IRREVERSIBLE ASINTOMÁTICA, la cual de acuerdo a Cohen[2]en "Vías de la Pulpa", refiere que este tipo de pulpitis es el resultado del proceso traumático, los cuales pueden provocar calcificación en los conductos, como resultado de una excesiva cantidad de depósitos de dentina a lo largo del sistema de conductos, donde la misma decoloración cameral ya sugiere una calcificación u obliteración. En el DIENTE 33 (CANINO IZQUIERDO): 1) Se observa resorción interna radicular a nivel de tercio medio con el ápice 2) Responde a la percusión dentro de los límites de la normalidad. 3) Respuesta de sensibilidad pulpar dentro de los límites de la normalidad. En este diente mi diagnóstico es una PULPITIS IRREVERSIBLE, producto del trauma sufrido por el diente a causa del traumatismo de la cirugía ortognática y su consiguiente tratamiento de ortodoncia. [1] Seltzer, S. y Bender,I. Pulpa Dental. 1987;201. [2] Cohen, S. y Burns, R. Vías de la Pulpa. 1999;17. ".

Participante 17.- " radiograficamente en el canino izquierdo se observa calcificación completa del conducto radicular. En el cani no derecho se observa una imagen radiolucida dentro del conducto radicular compatible con una resorcion radicular interna. Complementando con los signos y síntomas y las pruebas de vitalidad se da como diagnostico presuntivo en el canino izquierdo una pulpitis irreversible y en el canino derecho necrosis pulpar con resorcion radicular interna. Esto se produjo por el tratamiento ortodoncico que fue sometida la paciente generando reacciones pulpares. Según Ingle et al. los caninos son los dientes mas propensos a la hemorragia pulpar y a la necrosis bajo las fuerzas de los movimientos ortodoncicos, estas fuerzas ortodoncicas afectan la vitalidad pulpar, ocasionando reacciones inflamatorias. Generalmente estos dientes presentan cambio de coloración. Estos autores también refieren que han encontrado una depresión del 27% en el nivel de respiración del tejido pulpar, trayendo como consecuencia alteración del flujo sanguíneo y cambios vasculares en la pulpa ".

Participante 18.- " Nos encontramos ante una condición dentaria de calcificación pulpar en el canino inferior derecho, mientras que en el canino inferior izquierdo presenta una resorción interna, cuyas condiciones pudieron ser consecuencia del movimiento ortodóntico al cual fue sometida la paciente, los efectos de dicho tratamiento sobre el órgano dentino pulpar han sido estudiados desde principios del siglo pasado, de hecho uno de los estudios más antiguos, fue el de Marshall y cols en 1933 y posteriormente el de Oppenheim en 1936 los cuales concluyeron que las fuerzas ortodónticas pueden provocar problemas en la circulación pulpar y por ende degeneración pulpar, calcificaciones y algunas veces necrosis, además de que va a haber una disminución en el porcentaje de oxígeno pulpar, y esto podría resultar también en cambios en el estado pulpar, ya sea una pulpitis irreversible o una necrosis pulpar con su posible secuela de resorción interna o externa (Hamersky 1980), y esto es lo que probablemente ocurrió en este caso como consecuencia del movimiento ortodóntico. ".

Participante 19.- " La paciente presenta actualmente en el 33 y 43 hallazgos clínicos y radiográficos correspondientes a procesos inflamatorios pulpares irreversibles en dichos dientes, por lo que se pudiera emitir un diagnóstico presuntivo de pulpitis irreversible crónica asintomática, cuya etiología pudo ser el trauma generado por el movimiento ortodóntico sobre la pulpa dental, observandose como hallazgo clínico cambio de coloración en la corona clínica de ambos dientes y radiograficamente una aparente calcificación de la cámara pulpar y el conducto radicular en el 43, así como una resorción radicular interna ubicada entre el tercio medio y apical del 33. Trabajos como el de Stenvik y Cols. y Mostafa y Cols. estudiaron los cambios a nivel histológicos que sufría el órgano dentino pulpar a los movimientos ortondónticos, observando entre otros, degeneración odontoblástica, vacuolización, y fibrosis del tejido pulpar, degenerando esta en un proceso inflamatorio irreversible y hasta en necrosis, producto de los movimientos ortodónticos. Seltzer y Bender asocian al cambio de coloración que presentan las coronas, como producto de la hemorragia producida al romperse los vasos del ligamento por aplicación de una fuerza excesiva, penetrando sangre en los túbulos dentinarios produciendo inicialmente una coloración de la corona, color rosa, para a través del tiempo pasar a un color amarillento, producto de la liberación de pigmentos como la hemosiderina, Lo que explicaría el cambio de coloración que presentan los dientes actualmente. A su vez los cambios degenerativos producidos en la pulpa, producto del movimiento ortodóntico, pueden producir calcificación de la cámara pulpar y del conducto radicular, o también resorciones externas apicales y resorciones internas radiculares, tal como lo sugieren Weine y Lasala. Stenvik y Cols. argumentan a que la resorción interna radicular se produce por la activación de los odontoclastos, producto de la sustitución del tejido pulpar por un tejido! conjuntivo semejante al del ligamento, cambio producido por la degeneración del tejido pulpar producto de las fuerzas ortodónticas. ".

Participante 20.- " Las imágenes radiográficas muestran la presencia de obliteración tanto de cámara pulpar como conducto radicular en el canino inferior derecho, lo que explica el cambio de coloración del diente (apreciable en la foto clínica) y la ausencia de respuesta a las pruebas de sensibilidad. En este caso, la presencia de la aparente calcificación total de la cámara y conducto son responsables de respuestas disminuidas o nulas a las pruebas de sensibilidad. La imagen radiográfica del canino inferior izquierdo sugiere la presencia de un proceso resortivo que aparentemente ocurre en su parte interna. Sin embargo, la toma de radiografías en diferentes angulaciones horizontales ayudaría a corroborar esta apreciación. También se puede apreciar calcificaciones a nivel de la cámara pulpar del mismo diente. El hecho de que responda a las pruebas de sensibilidad no es de extrañar ya que según describen autores como Frank (1981), ésta patología es asintomática y generalmente es diagnosticada mediante examen radiográfico. Los dientes con esta patología generalmente responde a todas las pruebas de vitalidad. La condición que presentan ambos dientes corresponden a cambios que se pueden presentar en en procesos inflamatorios irreversibles crónicos del tejido pulpar. Si embargo, estos procesos conllevaron a cambios clasticos en el canino inferior izquierdo y a cambios de tipo blasticos en el canino inferior derecho. Tomando como base los antecedentes del paciente, considero que el factor etiológico más probable es el tratamiento ortodóntico. Weine , Seltzer y Delivanis y Sauer, entre otros han señalado que el tratamiento ortodóntico puede ser un factor etiológico de alteraciones a nivel de ligamento periodontal y tejido pulpar. Weine menciona que al igual que algunos cambios pulpares están acompañados de depósito de dentina reparadora , la resorciones también pueden deberse a una lesión pulpar producida por desplazamiento ortodóntico. Para este desplazamiento son aplicadas fuerzas que originan alteraciones en la circulación pulpar (Seltzer 1987). Delinavis y Sauer encontraron que de 46 pacientes tratados con ortodoncia solo dos presentaron un total de tres dientes con evidencia de calcificaciones. A pesar de que esta incidencia no es estadísticamente significativa, en su artículo discute sobre la relevancia clínica de esta situación presente en pacientes que han recibido tratamiento ortodóntico. ".

Participante 21.- " Evidentemente ambos dientes presentan patologías pulpares irreversibles y son dos manifestaciones diferentes ante un mismo irritante. Es sabido por los endodoncistas que el tratamiento ortodóntico en algunos casos puede afectar al órgano dentino-pulpar, produciendo inflamación o hasta necrosis. Durante el movimiento ortodóntico los dientes pueden experimentar una disminución en la cantidad de oxígeno en el tejido pulpar (Hamersky et al. 1980), incluso hemorragia (Ingle 1996); y lo que es más común resorción apical (aunque éste no es el caso). Al hacer la evaluación de la fotografía clínica, se puede observar que hay cambio de coloración en el canino inferior derecho que coincide con la imagen radiográfica de calcificación total del sistema de conductos radiculares y la ausencia de respuesta frente a las pruebas de sensibilidad, sin evidencia aparente de algún irritante como caries, enfermedad periodontal, ni antecedentes de traumatismo (aunque sí se observan facetas de desgaste en ambos dientes). Esta obliteración de la cámara y conducto radicular es la respuesta de la pulpa a un irritante que en este caso fue el movimiento ortodóntico. En cuanto al canino inferior izquierdo, la situación y respuesta de la pulpa fue diferente, en este caso radiográficamente se puede observar una imagen radiolúcida localizada en el tercio medio-apical de la raíz compatible con una resorción radicular interna, que no sabemos aún si es perforante o no (recomiendo radiografías en dos proyecciones, mesiorradial y distorradial, para confirmar dicho diagnóstico). Ésta también es una respuesta al movimiento ortodóntico e indica igualmente irreversibilidad del proceso inflamatorio pulpar. Aunque en este caso no aplica, es importante señalar que el procedimiento quirúrgico de reposición mentoniana, también pudo haber producido algún tipo de daño pulpar, pero la afección que se produce en esos casos es la necrosis pulpar por el posible corte del paquete vasculo-nervioso de algún diente; en este caso el 33 está vital, y el 43 aunque puede en este momento estar necrótico, estuvo vital ya que pudo calcificarse completamente. Cabe destacar que en la imagen radiográfica y clínica se observa ausencia de los primeros premolares inferiores, lo que nos hace pensar que los caninos necesitaron ser desplazados varios milímetros para llevarlos a una posición más distal. Descarto la posibilidad de que el bruxismo sea el factor etiológico debido a que las facetas de desgaste se observan superficiales y a que muy probablemente estarían afectados más dientes (de todas formas recomiendo la evaluación de las radiografías periapicales de los otros dientes para confirmar y el control del hábito). ".

Participante 22.- " Clínicamente se observan desgastes de los bordes incisales y cúspides de manera generalizada, puede que la paciente sea bruxómana. En cuanto al diente 33 se observa radiográficamente obliteración total del espacio de la cámara pulpar y conducto. Tejidos periradiculares normales, espacio del ligamento periodontal normal. Clínicamente se observa cambio de coloración a amarillento-parduzco en comparación al canino superior de ese lado. Si el diente está respondiendo normal a las pruebas de vitalidad puede considerarse como vital asintomático a pesar de que radiográficamente existe evidencia de alteración pulpar, por la calcificación total . En cuanto al diente 43 se observa radiográficamente alteración en el espacio de la cámara pulpar, se ve parcialmente calcificada. El tercio coronal del conducto también se ve irregular, al igual que entre tercio coronal y medio (hay calcificaciones difusas). En el tercio apical se ve aumento irregular del espacio del conducto, compatible con resorción interna. Tejidos periradiculares normales. Si el diente no está respondiendo a las pruebas de vitalidad puede considerarse como pulpa necrótica. En cercanía de la zona apical del 43 se ve imagen radiopaca compatible con alambre de fijación ortognática; al igual que en cercanía con zona apical del 33, se observa imagen radiopaca compatible con alambre de fijación. Aunque tridimensionalmente, no se puede asegurar si el alambre está hacia vestibular o lingual, o justo cerca del ápice de los dientes 33 y 43. Por los antecedentes de la paciente, puede sospecharse que desde el momento de la cirugía pudo haber alteración de la vascularidad de la zona, disminución del aporte sanguíneo, y por ende alteración pulpar. La información suministrada señala que posteriormente se le colocó ortodoncia. Algunos autores refieren que la cirugía ortognática es lo último que se hace, posterior al tratamiento ortodóncico o cuando falte poco para culminarlo, debido a que la cirugía (los cortes - osteotomías realizados) disminuyen el aporte sanguíneo considerablemente en todos los tejidos, incluso en el pulpar, y aunque puede ser transitorio, si se le sobreagrega el movimiento ortodóncico puede haber mayor trauma y por ende muerte pulpar o calcificación o alguna alteración irreversible en las pulpas dentales. Considero que la etiología de los casos (33 y 43) fue combinada: primero lesión al paquete vasculonervioso, y luego mayor trauma por la ortodoncia. ".

 

 Dada la condición general presente, ¿ Considera adecuado algún tratamiento endodóntico en estos dos dientes? Por favor explique

Participante 1.- " no, por que se puede apreciar que la calcificación ha sido total ".

Participante 2.- " Tratamiento de endodoncia en la pieza canino inferior derecho, procediendo a realizar restauración estética conservadora ".

Participante 3.- " el canino inferior derecho debe ser tratado endodonticamente por prevención ya que en algún momento podría desarrollar un proceso infeccioso aunque tenga necrosis ( como podría ser gangrena pulpar ), el izquierdo no le haría nada. por el momento, solo mantenerlo bajo supervisión clínica y radiográfica ".

Participante 4.- " Solo realizaría tratamiento de conducto en el canino inferior derecho por la reabsorción y que no responde a la prueba de vitalidad pulpar , aunque no se manifieste cambios en la zona apical. ".

Participante 5.- " El canino derecho debido a que no presenta sintomatología y tampoco existen signos radiográficos de lesión apical, no estaría indicado a mi parecer el tratamiento endodontico. El canino izquierdo se debe iniciar lo antes posible el tratamiento endodontico, en este caso biopulpectomía para evitar que la reabsorción perfore la pared dentinaria. ".

Participante 6.- " en mi opinión se le realizaría tto en los dos dientes en el 43 para evitar que existiera una obliteración total del conducto en caso de que este calcificado y en el 33 para tratar de controlar la reabsorción interna que existe ".

Participante 7.- " En el 33 no; quizás en 43 endodoncia por la ausencia de vitalidad pulpar y el cambio de coloración ".

Participante 8.- " si la terapia endodontica a mi entender en este caso es parte del tratamiento integral , si existieran deberíamos también eliminar interferencias oclusales sobre todo si se detectaran al realizar pruebas de la guía canina . ".

Participante 9.- " en el canino inferior izquierdo sugiero observar clinica y radiograficamente cada 3 meses,pero el canino inferior derecho debe ser sometido a tratamiento endodontico ".

Participante 10.- "Solo en el canino inferior derecho. Es una pulpa que probablemente nos va a dar problemas periapicales. En caso de no estar ante una necrosis pulpar todavía, la calcificación pulpar continuará dificultando el tratamiento endodóntico. ".

Participante 11.- " recomiendo la terapéutica endodoncica en el canino inferior izquierdo, por la lesión concomitante (rdi), en cambio ninguna clase de tratamiento endodoncico para el canino derecho ".

Participante 12.- " Si el tratamiento (biopulpectomia total) del izquierdo a fin de que no avance la RDI y perfore la raíz. El derecho lo dejaría sin ningún tratamiento ".

Participante 13.- " No por el momento, se sabe que la calcificación presente (si así fuera el caso ) es de carácter patológico pero considero que si no tiene alguna otra sintomatología como, dolor o reacción periapical no es indispensable hacer el tratamiento endodontico de inmediato, con respecto al canino izquierdo considero que se encuentra aparentemente vital y sano ".

Participante 14.- " Dada la completa obliteración del conducto del canino inferior izquierdo se descarta cualquier tratamiento endodóntico pero debemos realizar la endodoncia del derecho para evitar la pronta obliteración del conducto a nivel del tercio coronal y/o la comunicación con el espacio periodontal por evolución de la reabsorción interna apical. ".

Participante 15.- " Se debería realizar tratamiento endodontico en el 43 ya que según las pruebas no posee vitalidad ".

Participante 16.- " Si considero aplicar tratamiento endodóntico, solo en el canino izquierdo (33), en el cual y debido al proceso de resorción interna presente en ese diente, yo propongo realizarle el tratamiento de conducto, pero con la variante de sellarlo con MTA (como cemento sellador) y gutapercha termorreblandecida, esto lo haría con el fin de poder sellar la resorción interna y detener esa patología (ya que como sabemos, la radiografía nos da solo dos planos y no sabemos con exactitud hasta donde llega la lesión). De acuerdo a estudios publicados por Torabinejad, M. et al. [3], en 1999, se ha observado que el mineral de trióxido agregado (MTA) es un material adecuado en la reparación de resorciones y perforaciones, por sus propiedades biológicas e histológicas. Para el canino derecho (43) no considero aplicar ningún tratamiento, solo se recomienda la observación. [3] Torabinejad, M y Chivian. Journal Of Endodontics. 1999;25:(3)197-205. ".

Participante 17.- " se debe realizar tratamiento endodontico en el canino derecho ya que presenta resorcion radicular interna y se debe detener este proceso inflamatorio ".

Participante 18.- " si, pero en mi opinión solo realizaría tratamiento de conductos convencional en el canino inferior izquierdo (es decir en el que presenta resorción interna), ya que dicho diente presenta una condición pulpar irreversible, a pesar de no tener sintomatología; en el cual ha habido un daño a la pulpa y esta ha reaccionado activando las células clasticas,y por lo tanto se requiere de la realización de un tratamiento de conductos con la previa colocación de hidróxido de calcio en el conducto. ".

Participante 19.- " Debido a que aparentemente los dientes no presentan ningun tipo de lesión en su corona (Caries, fractura Etc.)además de que el paciente no refiere ninguna sintomatología, así como los resultados de las pruebas de vitalidad se presentan normales (es de esperar que el 43 no responda a las pruebas térmicas debido al grado de calcificación)no consideraría adecuado la realización de tratamientos endodónticos en dichos dientes, ya que estos presentarían un alto grado de complejidad, pudiendo producir un daño mayor al presente. ".

Participante 20.- " Considero que el llevar a cabo el tratamiento conductos en el canino inferior derecho podría conllevar a la perforación del diente en un intento de localizar una cámara pulpar aparentemente inexistente. Debido a que el diente no presenta sintomatología alguna y que no se requiere de ningún tratamiento restaurador, por ejemplo la confección de una corona, considero que no es prudente el intentar un tratamiento de conductos. ".

Participante 21.- " Sí, el diente 33 necesita un tratamiento de conducto lo antes posible, debido a la pulpitis irreversible que presenta y sobre todo porque puede ser que el proceso inflamatorio pulpar todavía no haya perforado hacia el tejido periapical. En cuanto al diente 43, el verse totalmente calcificado en la radiografía, complica un poco la toma de decisión, ya que el estado de irreversibilidad pulpar obliga a un tratamiento de conducto, pero hay que pensar si realmente éste es ejecutable en ese diente. ".

Participante 22.- " Considero necesario el tratamiento de conductos en el 43 (no responde a las pruebas, hubo resorción interna, la pulpa no soportó la agresión) ".

 

En caso afirmativo ¿ Puede señalar brevemente su proceder ? :

Participante 2.- " Despulpado de la pieza involucrada, instrumentación y colocación de pasta de hidróxido de calcio con yodoformo, por un período de cuatro a seis semanas. Posteriormente y de ser adecuada la evolución proceder a obturar la pieza de manera tradicional con gutapercha para posteriormente indicar rehabilitación de tipo conservador".

Participante 4.- " En dicho diente (canino inferior derecho) realizaría previa apertura de cámara , lavado con hipoclorito (5 %) , colocaría una pasta de hidróxido de calcio por un tiempo no menor de 30 días, evaluación radiográfica y si hay no mejoría dejaría por mas tiempo el hidróxido de calcio y al haber mejoría sellaría el conducto, con materiales acostumbrados. ".

Participante 5.- " En el caso del canino izquierdo, realizaría la biopulpectomía cuidando de eliminar todo resto pulpar del interior del conducto y dejaría como curativo de demora hidróxido de calcio por un periodo de 15 a 30 días antes de obturar mediante una técnica de termoplastificado ".

Participante 6.- " tratamiento de conducto en los dos dientes.".

Participante 8.- " eliminaciones de las interferencias oclusales si existieran , endodoncia: Acceso, Irrigación, hipoclorito de sodio al 5,25%/EDTA 17% alternada, Lubricante, sistema Rotatorio de NiTi, Orifice shapper, profile .04, Y/o .06 de taper según el caso, Obturación por medio de gutapercha termoplastificada. ".

Participante 9.- " el canino inferior derecho debe ser tratado primero con una pasta en base a hidróxido de calcio y control radiográfico ".

Participante 10.- " El tratamiento indicado sería una Necropulpectomía y su rehabilitación estética posterior. ".

Participante 11.- " para el canino izquierdo , se hace imprescindible la terapéutica endodontica , ya que de lo contrario el caso seria funesto, el tratamiento de conductos será de rutina y de preferencia se obturara con gutapercha termoplastificada, ".

Participante 12.- "El canino derecho ya esta calcificado , seguramente tendrá un color amarillento debido a esto , pero no tendrá otra complicación ´La RDI del izquierdo es un proceso inflamatorio crónico , lento la mayoría de las veces , pero que hay que erradicar ".

Participante 14.- " Instrumentación del conducto en toda su longitud hasta una lima del 30 (para abrir la ligera obliteración del 1/3 coronal)y asegurar con Rx que se ha llegado a la longitud de trabajo. Alisado del conducto con Limas H del mismo diámetro de la LAM (Lima apical maestra)tras la preparación con Gates y Gel Glyde del tercio coronal del conducto. Debido al aumento del diámetro de la parte apical del conducto, condensación vertical en esta parte con poco cemento AH 26. Se hará condensación vertical en el resto del conducto. Reconstrucción con resinas compuestas, tras una espera de 8 días para ver que la lesión haya cesado y que el sellado sea bueno. ".

Participante 15.- "Se podría cubrir al paciente con un antibiótico profiláctico luego de unos días de antibioticoterapia, se procede a realizar el caso en una sola cita ya que no existe sintomatologia clinica ni historial de dolor. ".

Participante 16.- " En el canino izquierdo (33) ya describí anteriormente mi proceder. Ahora bien en el canino derecho (43), debido a la obliteración, (prácticamente de toda la cámara y conducto), y como al parecer no se observa lesiones a nivel periapical, ya que radiográficamente no se ve nada y la prueba a la percusión que resultó dentro de los límites de la normalidad indican que no hay inflamación periapical. Por esta razón es que yo propondría solamente la observación radiográfica periódica, (pudiera ser cada seis meses) del diente. A mi juicio puede ser peligroso el intentar realizar el tratamiento de conducto, y por el contrario nos estaríamos si lo hacemos, a tener un accidente (como por ejemplo, una perforación radicular, al intentar realizar el acceso endodóntico). ".

Participante 17.- " en el canino derecho al realizar el tratamiento endodontico se debe irrigar bastante con hipoclorito de sodio para desbridar completamente el tejido pulpar necrótico e instrumentar apoyandose de las paredes para alisar las paredes irregulares del conducto radicular producto de la resorcion interna, se debe colocar una pasta de hidróxido de calcio durante 2 semanas para cambiar el medio acido de la resorcion inflamatoria y poder obturar con gutapercha termorreblandecida para sellar todas las irregularidades. Posteriormente se mantendrá en control radiográfico ".

Participante 18.- " Realizaría extirpación pulpar, limpieza y conformación del conducto radicular, luego colocaría hidróxido de calcio durante una semana (como medicación intaconducto)y luego realizaría la obturación con la técnica de compactación vertical para obtener una obturación tridimensional que me selle todos esos espacios creados por la irregularidad de dicha resorción. ".

Participante 20.- " Con respecto al canino inferior izquierdo llevaría a cabo el tratamiento de conductos para así detener la resorción interna que se presenta. Durante el procedimiento de limpieza y conformación utilizando para ello irrigación con hipoclorito de sodio, colocación de Ca(OH)2 y pudiendo hacer uso de las fresas GG sin activar para eliminar el tejido resortivo dentro del conducto. Como la presencia de estas zonas resortivas complican el proceso de obturación tridimensional, la utilización de gutapercha termorreblandecida está indicada en este caso. En caso que el proceso resortivo haya producido comunicación entre el ligamento periodontal y el tejido pulpar se consideraría el uso materiales como ionómero de vidrio, MTA, etc. por medio quirúrgicos o no para el sellado de la perforación. ".

Participante 21.- " En el diente 33 realizaría un tratamiento de conducto, tomando las consideraciones pertinentes debido a que presenta una resorción radicular interna (que puede ser perforante). Durante el procedimiento puede haber abundante hemorragia debido al tejido de granulación existente, por lo que deberá ser cohibida con agua de cal, se debe utilizar abundante hipoclorito de Sodio (preferiblemente al 5,25%) para ayudar a disolver el tejido, también es recomendable la utilización de limas de Hedstrom o fresas Gates (usándolas manualmente, no en el micromotor) apoyándonos en las paredes de la resorción, es importante en estos casos la medicación intraconducto con hidróxido de calcio, sobre todo tomar una radiografía después de colocarlo ya que nos ayudará a ver mejor el defecto (su forma y tamaño bidimensionalmente) y a evidenciar si éste llega hasta los tejidos periapicales confirmando así que es una resorción perforante. Al momento de obturar recomiendo la compactación vertical de la gutapercha para tratar de sellar la "esfera" producto de la resorción, de una forma más eficiente. Y por su puesto la restauración conservadora de el diente lo antes posible. ".

Participante 22.- " El tratamiento de conductos del 43 se hará de manera convencional, pudiera hacerse apertura de la cámara y localización del conducto sin aislamiento para evitar el riesgo de desgastar estructura dentaria innecesaria. La permeabilización hasta el tercio apical podrá hacerse con limas pathfinder, abundante irrigación con hipoclorito de sodio al 5,25%, ayuda del ultrasonido para potenciar acción del irrigante y hacerlo llegar a todas las irregularidades en la zona de resorción interna. La preparación biomecánica podrá complementarse con algún lubricante o quelante como EDTA al 17%. La obturación podrá realizarse con gutapercha termoplastificada para lograr rellenar las irregularidades. Confección de la restauración definitiva lo antes posible. ".

 

En caso negativo ¿ Cual sería su actitud frente al caso ?:

Participante 1.- " explicarle al paciente que su canino ha perdido vitalidad, y que ha eso se debe el cambio de color y que por estética y para que el diente ya no siga perdiendo humedad y se fracture es conveniente forrarlo con una corona total, metal porcelana. ".

Participante 7.- " Evaluación radiológica periódica y clínica para verificar los estados de vitalidad pulpar ".

Participante 11.- " para el canino derecho , la observación a distancia es lo que mas compete , de acuerdo a mi criterio obviamente, el diente no presenta sintomatologia, no existen lesiones a nivel periapical, y hacer el tratamiento de conductos en estos casos (calcificaciones) , no tiene consenso total entre los profesionales. ".

Participante 13.- " control clínico y radiográfico periódico ( cada seis meses podría ser) del caso para valorar en que momento necesitaría realizarse el tratamiento endodontico ".

Participante 17.- " en el canino izquierdo no es conveniente realizar el tratamiento endodontico debido a la calcificación del conducto radicular y sise intentara es posible que se haga una perforación. En este caso como la paciente no presenta sintomatologia se mantiene en observación y control radiográfico ".

Participante 18.- " En el caso del canino inferior derecho,a pesar de saber que hubo una respuesta pulpar ante una reacción dañina, que en este caso pienso que fueron las fuerzas ortodónticas, no realizaría ningún tratamiento, mientras la paciente se encuentre asintomática, ya que este diente presenta una dificultad que es la gran calcificación del tejido pulpar, que podría llevar a la consecuencia de una perforación y posterior complicación del caso si intentáramos realizar un tratamiento de conductos convencional, en el caso de que la paciente presentara sintomatología o un proceso apical, realizaría una resección apical con obturación a retro. ".

Participante 19.- "Se procedería al tratamiento de cualquier posible lesión que se presente en la corona clínica del diente así como tratamiento periodontal en la zona, la aplicación de tratamientos preventivos en la corona (aplicación de sellantes, flúor tópico), Información del hallazgo al paciente, explicando su posible causa y consecuencias, así como un control periódico clínico y radiográfico a fin de detectar algún cambio patológico que nos lleve en el futuro a considerar la realización de una terapia endodóntica en dichos dientes. ".

Participante 20.- " En el caso del canino inferior izquierdo solo observación y control radiográfico para así descartar o poder identificar cualquier cambio a nivel de tejidos periapicales que pudiese presentarse a futuro. ".

Participante 21.- " En el diente 43, como dije antes el estado pulpar requiere un tratamiento endodóntico, pero hay que pensar si es ejecutable. Aunque en la radiografía no sea evidente ni la cámara pulpar ni el conducto radicular esto no quiere decir que clínicamente no se pueda permeabilizar el sistema de conductos, pero es un riesgo que hay que asumir ya que durante la apertura y/o localización del conducto puede desgastarse estructura dentaria sana y lo que es peor se puede perforar el diente. Hay que tomar en cuenta que la paciente está asintomática y que sus tejidos periapicales se encuentran sanos y no presenta ninguna lesión cariosa o periodontal. Tan bien cabe destacar, que es muy bien sabido el papel que juegan los microorganismos en la etiopatogénia de las lesiones periapicales (Kakehashi 1965) y en este caso el diente si llegara a estar necrótico, o se necrosara más adelante, las probabilidades de que presente una lesión periapical son muy bajas, tendría que ser por algún fenómeno de anacoresis o que más adelante sufriera de enfermedad periodontal o caries (que lo dudo). La mayor complicación, ya ocurrió, el diente se calcificó y el tratamiento de conductos es casi imposible, las posibilidades de enfermedad periapical son casi nulas, y hasta ahora el diente ha estado asintomático, así que no creo que a estas alturas comience a doler. Lo que recomiendo es realizar controles radiográficos 2 o 3 veces al año y comunicarle a la paciente que ante cualquier molestia (a la percusión, dolor provocado o espontáneo...), acuda inmediatamente a consulta para intentar realizar el tratamiento de conductos bajo los mismos riegos. ".

Participante 22.- " Considero que en el 33 no es necesario el tratamiento de conductos. El diente está vital, no refiere sintomatología (a pesar de que hay evidencia radiográfica de afección pulpar). Si se intenta realizar el tratamiento de conductos puede debilitarse innecesariamente el diente, riesgo de perforación, pérdida de estructura dentaria, pronóstico cuestionable. Se mantendrá en observación clínica y radiográfica por si aparece alguna patología apical, en tal caso, pudiera abordarse de manera quirúrgica (tal y como lo señala Delivanis). En cuanto a la parte estética, si a la paciente le importa mucho el cambio de coloración de su diente, no se si realmente el blanqueamiento extracoronal pueda mejorar la condición estética. ".

 

Comentarios adicionales

Participante 3.- " el canino izquierdo lo mantendría bajo observación clínica y radiográfica ya que aparentemente no tiene mayor problema. ".

Participante 5.- " Sólo controlaría clínica y radiograficamente el canino derecho ".

Participante 13.- " Muchas veces es mejor llevar un control del caso porque suele haber situaciones en la que pasan muchos años y el diente no presenta alteraciones apicales ni dolor, pero tenemos que estar consciente que tarde o temprano ese diente necesitara endodoncia por considerarse la calcificación del conducto como un patología ".

Participante 15.- " el 33 se mantendría en observación, tanto clinica como radiográfica ".

Participante 16.- " Debido a que la paciente es una colega, podemos tener la seguridad de que acudirá a sus citas para control radiográfico. Además de que no presenta ningún tipo de sintomatología, esto fue un hallazgo clínico, en donde resultan negativos las pruebas, debido a la gran calcificación de cámaras y conducto. ".

Participante 17.- " referencias bibliográficas : Ingle et al. Etiología y prevención de inflamación, necrosis y distrofia de la pulpa. En : Ingle y Bakland, editores. Endodoncia. Editorial McGraw-Interamericana. 1997:400 Hamersky P. A et al. The effect of orthodontic force appication on the pulpal tissue respiration rate in the human premolar. Am J Orthodont. 77;1980:368 ".

Participante 18.- " Las respuestas inducidas a las pulpas que han sido sometidas a una fuerza ortodóntica, podrían tener un impacto en la iniciación o perpetuación del remodelado apical o resorción durante el movimiento dentario, y la incidencia y severidad de esos cambios estaría influenciado por situaciones previas como caries o traumatismos, y en este caso además del movimiento ortodóntico al que fue sometido el paciente, tuvo una influencia adicional como pudo ser el trauma de la cirugía ortognática en el paquete vasculonervioso, por lo que pudo ser un factor extra al de las fuerzas de ortodoncia para que la pulpa reaccionara de la manera como lo hizo, probablemente con inflamación pulpar con posterior resorción en uno de los premolares y ´degeneración pulpar y/o calcificación en el otro. ".

Participante 19.- " Stenvik A., Mjör I., Pulp and dentine reactions to experimental tooth intrusion, Amer J Orthodont, 1970 April, 57(4):370-385 -Mostafa Y., Iskander K., El-Mangoury N., Iatrogenic pulpal reactions to orthodontic extrusion, Am J Orthod Dentofac Orthop, 1991 January, 99(1):30-34 -Seltzer S., Bender I., Pulpa dental, 3ªEd. 1987, Ed. El Manual Moderno, Mexico, pps:201-202 -Weine F., Tratamiento Endodoncico, 5ªEd. 1997, Harcourt, Madrid, pp:675 -Lasala A., Endodoncia, 4ªEd. 1992, Masson Salvat, Barcelona, pp:83 ".

Participante 21.- " Con este caso podemos analizar la importancia de los controles radiográficos post-tratamiento ortodóntico, que deberían ser anuales, sobre todo en los dientes que fueron sometidos a grandes cargas (como en este caso los caninos e incisivos inferiores), si esto se hubiera hecho, los tratamientos de conductos en ambos dientes hubieran sido más fáciles, el 43 se hubiera podido tratar, y el 33 no tendría una resorción interna tan grande. ".

Participante 22.- " Considero una etiología combinada ortognática-ortodoncia debido a que casualmente los cambios se notan en los dientes cuyos ápices están más cercanos a los alambres, pudo ser que al realizar las osteotomías se lesionó el paquete vasculonervioso. La ortodoncia sola generalmente no presenta como secuelas resorciones internas, en realidad no he visto ni leído de casos de resorción interna por ortodoncia. Las secuelas comunes de los movimientos ortodóncicos son las resorciones apicales, en las cuales se ve la raíz achatada (`blunted´), la calcificación pulpar también es secuela común del movimiento ortodóncico. ".

 

Nuestra actitud frente al caso :

En nuestra opinión, en este momento es indispensable el tratamiento de conductos en el canino inferior izquierdo, que evidencia una clara resorción interna (signo inequívoco de lesión pulpar). El canino inferior derecho evidencia una reducción significativa de su espacio pulpar, sin embargo preferimos dejar en observación periódica.

Detalle del aislamiento y abordaje del caso.

Se determina la longitud de tratamiento y se prepara de acuerdo a la condición anatómica presente, haciendo hincapié en el control y la acción de la irrigación manual y ultrasónica.

Una vez culminada la preparación, y ante la evidencia de resorción presente, se coloca Hidróxido de Calcio en el interior del diente, teniendo cuidado de cubrir la totalidad del espacio interno.

Este hidróxido se recambia un par de veces en un período de 6 semanas. El caso se mantiene asintomático.

Se decide entonces completar el tratamiento endodóntico.

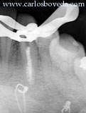
Detalle de la adaptación del cono principal de gutapercha (notese la preparación de gran conicidad - taper .10).

cc
Detalle de la cantidad de sellador utilizado (una muy pequeña capa en la superficie interna del diente, controlada visualmente y también por su apariencia radiográfica

Detalle de la inserción del cono principal (notese nuevamente la cantidad de sellador utilizado) y su control radiográfico. Este control de sellador es muy importante para tener mayor certeza en el contenido de la obturación, en relación a la proporción sellador - gutapercha, así como evitar artificios radiográficos en relación a la radiopacidad del sellador utilizado.

cc
Detalle clínico, radiográfico y radiovisiográfico de la primera sección de compactación de gutapercha (sistema B - single wave of condensation).

cc
cc
Detalle clínico, radiográfico y radiovisiográfico del backfilling de gutapercha (obtura II).

cc
Apariencia clínica del sellado de la obturación endodóntica con compómero.

cc
Sellado temporal del abordaje coronario.

ccccccc ccccccc
Imágenes radiográficas en proyección mesio, otro y disto radial del caso culminado.

Se refiere para su restauración y se le indica volver a consulta para mantener el caso de ambos caninos inferiores en observación periódica.

Por favor regrese en breve para apreciar un control clínico y radiográfico de 12 meses.

Regreso al Foro de Endodoncia Interactiva

 

 Carlos Bóveda Z., Enero 2003
 carlosboveda@carlosboveda.com