Endodoncia Interactiva
Carlos Bóveda Z.

Home Page

Odontólogos

Pacientes

Casos Clínicos

La Columna Dental

Endodoncia Interactiva

Links Endodónticos

Odontoinvitado

Eventos

UCV Endo

Contáctenos

  Respuesta al foro interactivo de Endodoncia

Muchas gracias a las 53 personas que participaron en esta XXI edición de nuestro foro enviándonos sus respuestas. Recibimos la participación de odontólogos generales y especialistas de diversas áreas de la odontología y de diversas partes del mundo (Argentina, Brasil, Colombia, Costa Rica, El Salvador, España, México, Potugal y Venezuela), que a continuación vamos a comentar. Primero recordemos el caso:

  Caso # 21, Marzo-Abril 2002

El paciente, de 37 años de edad, en aparente buen estado de salud general, viene a nuestra consulta para evaluar endodónticamente la zona antero superior.

ccc ccc
ccc vvvvccc

( Haga click en las imágenes para agrandar)

Nos comenta que viene sintiendo una molestia creciente en la zona "final" de su incisivo central superior izquierdo, desde hace unos 6 meses. Lo que comenzó como una muy esporádica y leve incomodidad, ha aumentado de intensidad, frecuencia y duración hasta llegarlo ya a despertar de noche.

Se nos explica con detalle el como sufrió un traumatismo en el segmento anterosuperior 20 años atrás, que obligó primero a un abordaje quirúrgico por la fractura radicular de ambos incisivos, luego al tratamiento de conductos del incisivo izquierdo y posteriormente a una cirugía apical (recuerda una "infección" del área, que desapareció con el procedimiento quirúrgico).

El paciente es una persona muy ordenada y meticulosa, y nos ofrece imágenes radiográficas que ha guardado de lo ocurrido hace 22 años:

ccccc ccccc
ccccc ccccc
ccccc ccccc

El tratamiento endodóntico presente en el incisivo derecho es del año 1992, hecho por nosotros. En esa época el paciente mostró una molestia continua en el extremo radicular del incisivo central superior derecho. Este diente se presentó muy sensible a la palpación y percusión vertical, así como insensible a las pruebas de vitalidad. Radiograficamente se observó la disminución significativa del espacio pulpar, así como la presencia de un área radiolúcida apical, lo que orientó hacia un diagnóstico de necrosis pulpar, por lo que se procedió al tratamiento de conducto. Dificultoso de más, en una época pre-microscópica. De nuestros archivos, extraemos las imágenes del caso (año 92) :

ccccc ccccc
ccccc ccccc
ccccc ccccc

Este procedimiento controló la molestia, confirmado por el paciente en un control que se le pudo hacer en el año 1995. Aquí pueden apreciar la condición radiográfica en ese momento:

ccccc ccccc

ccccc ccccc
En la actualidad el incisivo central superior izquierdo se muestra sensible a las pruebas de percusión y de palpación apical, mientras que el derecho no. Ambos dientes muestran surcos gingivales regulares de no más de 3 mm. de profundidad.
ccccc ccccc

Ante la condición actual que muestra el paciente, y tomando en consideración todas las variable endodónticas evidentes, se hicieron las siguientes preguntas y se obtuvieron las siguientes respuestas :

¿ Cual es su percepción diagnóstica del caso? :

Estas opiniones de nuestros participantes reflejan sus criterios:

Participante 1.- " Infección de larga duración, posiblemente por defecto de tratamientos anteriores. ".

Participante 2.- "Hubo filtración en la obturación retrograda, o bien el material utilizado para la obturación a retro esta trabajando como alergeno ".

Participante 3.- " Sin duda en ese entonces creo, que el caso se llevo adecuadamente e incluso respondió favorablemente,tan sólo restaría observar radiograficamente con el objetivo de monitorear una posible reabsorción cementodentinaria. ".

Participante 4.- " mi percepción es reabsorción radicular ".

Participante 5.- " reabsorción externa ".

Participante 6.- " Presentaría una periodontitis apical aguda No se produzco la reparación del tejido periapical luego de la cirugía y la endodoncia. Hay una Inflamación crónica que se agudiza. Sumado a esto o tal vez hubo una contaminación del conducto a través del tercio coronario por filtración de la restauración. ".

Participante 7.- " Esta pieza va a evolucionar a una reabsorción dentinaria interna y terminara con la extracción de la misma. ".

Participante 8.- "Temos um caso de reabsorção radicular, onde com a perda de cemento e exposição da dentina, o sistema imunológico não reconhece a dentina, iniciando um processo de rejeição do orgão radicular. A relação coroa-raiz está desfavorável ultrapassando o limite de 1:1, provocando o efeito alavanca, com a conseqüente perda do dente. São dados que levam a um prognóstico ruim. ".

Participante 9.- "el incisivo izquierdo tiene filtración en la parte apical del conducto. Se observa reabsorción radicular al lado de la obturación. ".

Participante 10.- "Periodontitis apical crónica sintomática, ciertamente por infiltración de la obturación retrógrada y probablemente acompañada por infiltración coronal del composite. ".

Participante 11.- "Posiblemente por el trauma, se produjo reabsorción ósea en el hueso de soporte de ambos dientes. ademas se observa en el periapice del incisivo derecho que no se logró un buen selle con el tratamiento endodóntico lo cual a degenerado en patología periapical. ".

Participante 12.- "En mi opinión, en vista de la sensibilidad que el paciente presenta en dicha zona y haciendo un análisis radiográfico, la imagen apical del 21, que en el año 95 se observaba con cierta radiopacidad por la formación de trabeculado, hoy en día se observa menos radiopaco, o con menos trabeculado como si se estuviera formando nuevamente una imagen apical y el hecho ya de tener esa sensibilidad a la percusión es un indicativo de que algo anda mal en la zona del ligamento y los tejidos periapicales (la presencia de una periodontitis apical) ".

Participante 13.- "de acuerdo a las imágenes clínicas y radiográficas suministradas, además de los signos y síntomas referidos se podría emitir un diagnostico de diente tratado endodonticamente con peridontits apical crónica. ".

Participante 14.- "Clínicamente se puede apreciar un cambio de coloración a nivel del ángulo mesial del 21 que nos hace pensar que esa restauración se encuentra defectuosa y por consiguiente hay microorganismos allí. En cuanto a la evaluación radiográfica podemos observar que existe trabeculado óseo pero a nivel de la obturación a retro hay disminución del grado de radiopacidad del hueso en una zona muy pequeña y localizada. Además la obturación del conducto no se observa bien compactada y existe un sellado coronal defectuoso; por lo que podemos pensar que existe una infección intraconducto que probablemente sea la causante de la sensibilidad y malestar del paciente a pesar de que exista un sellado a retro. O sea estaríamos en presencia de un fracaso endodóntico por una infección intraconducto, debido a un sellado coronal defectuoso y una obturación poco compacta. ".

Participante 15.- "en el incisivo central superior izquierdo existe una lesión periapical (periodontitis apical crónica) persistente, en donde probablemente exista un tejido de granulación con microorganismos persistentes que no fueron removidos durante el acto quirúrgico, es decir no hubo un buen curetaje de la cavidad. También al observar la obturación del conducto radicular no hubo una buena compactación de la gutapercha y por ello no hay un buen sellado. Por lo tanto, el paciente presenta esta sintomatología, ya que no hay una cicatrización completa de la lesión ".

Participante 16.- " El diente 21 es un diente despulpado con tratamiento de conductos previo, cirugía apical y periodontitis apical crónica actualmente sintomática, ademas con proceso fistulativo de aparente origen endodóntico. Clínicamente se observa el diente 21 con restauración definitiva defectuosa y fractura en borde incisal, al parecer el diente presenta un contacto prematuro o problemas de oclusión, el diente 41 esta aparentemente rotado y tal vez con contacto oclusal defectuoso con respecto al 21. Clínicamente se observa el 21 con ligera recesión de la encía (migración hacia apical de la encía marginal), dejando expuesto parte del tercio radicular coronal. La relación corona - raíz esta realmente comprometida, es menor de 1:1, el pronostico del diente tal como esta es de reservado a malo. El tratamiento endodóntico y cirugía apical previos es obvio que están fracasando, aparentemente por la filtración coronal de la restauración defectuosa y la mala condensación del material de obturación del conducto; tal vez por mas que sea que se haya buscado un sellado en apical con el material de obturación (que por cierto, parece ser amalgama, y según algunos autores, este material de retroobturacion es el que mas filtra); el problema de filtración coronal, complica la situación. ".

Participante 17.- " Pienso que la sintomatología del diente 2.1 se ha activado debido a que el sistema de conductos de ese diente se encuentra contaminado. El sellado coronario del mismo, tanto por la visión radiográfica como clínica me hace pensar que no es el más adecuado. Por otro lado, la radioopacidad de la imagen radiográfica del material obturador a retro en el diente es típica de un material metálico como la amalgama, el cual hoy en día sabemos no presenta los mejores perfiles como material de sellado en la zona apical, por lo que es un factor que se suma a la posibilidad de contaminación y afección de la zona periapical. ".

 

 Dada la condición general presente, ¿ Considera adecuado un nuevo tratamiento endodóntico en este incisivo? Por favor explique

Participante 1.- "Soy de opinión hacer los re-tratamientos de conductos, hacer cirugía con curetaje y recetar antibióticos durante unos 15 días. Hacer examen radiográfico de control dentro de unos 6 meses. Se puede resolver el caso mediante extracciones y colocación de dos implantes cuando este controlada la infección. No se recomienda implante inmediato. ".

Participante 2.- " Si, primero retrataría el conducto por su vía natural, para mejorar la preparación y para mejorar la obturación ya que se la ve algo deficiente, y a continuación cambiaría la obturación retrograda por M.T.A.".

Participante 3.- "Aparentemente no. Ya que no se observa lesión en periapice ".

Participante 4.- "primero estimular la formación de dentina secundaria con hidróxido de calcio y luego hacer la endodoncia ".

Participante 5.- "no lo considero adecuado dada la mínima longitud que tienen las raíces creo que debería pensar en la posibilidad de realizarse un implante ".

Participante 6.- "Si. para eliminar bacterias en el interior del conducto y permitir una obturación mas densa y homogénea . Esto crearía las condiciones necesarias para que la cicatrización sea posible. ".

Participante 7.- "Creo que puede ser apropiado un nuevo tratamiento endodóntico. ".

Participante 8.- "Não, pelas razões expostas acima. Acredito que a postergação da permanência do referido dente é um paliativo, que pode ser tentado em razão de ser um paciente zeloso, mas o mesmo deve ser orientado e avisado sobre a condição de perda futura do dente. ".

Participante 9.- "si. Se puede intentar desobturar todo, y colocar pasta alcalina. se la mantendra hasta desaparición de síntomas. Luego se la cambiara y se colocara un tapón de pasta alcalina. y luego la obturación convencional por debajo del mismo. ".

Participante 10.- "Si. La correcta desinfección y obturación del conducto, con nueva restauración coronal, probablemente resolverán el problema de la paciente. ".

Participante 11.- "Como tratamiento inicial conservador eliminaría ambos tratamientos endodonticos, lavaría profusamente con hipoclorito de sodio diluido al 2%, luego obturaría ambos conductos con hidróxido de calcio puro durante 6 meses con citas cada mes para control radiográfico y cambio del relleno de Ca(oh)2. luego obturaría definitivamente tratando de lograr un muy buen selle apical y continuaría el control radiográfico cada 6 meses, esperando valorar la regeneración ósea. Y en todo momento advirtiendo al paciente el pronostico reservado del caso. ".

Participante 12.- " no, ya que la condición general del paciente no es favorable, empezando porque ya el diente ha perdido casi toda su estructura radicular y prácticamente lo que queda dentro del hueso es la corona, ese tratamiento de conductos, se ve que está mal compactado, el diente clínicamente esta oscurecido, y probablemente esa restauración que presenta no tenga un sellado adecuado por coronal, y por tanto probablemente eso sea la razón por la cual se esta presentando esta sintomatología. ".

Participante 13.- "Si consideraría adecuado la realización de una repetición del tratamiento de conductos debido a que la obturación que presenta el diente se puede considerar deficiente, lo que permitiría la filtración coronal de bacterias a través del conducto, que se percolarian a través del material de obturación apical, causando el proceso periapical. ".

Participante 14.- "Sí, considero que el tratamiento de conducto debe repetirse ya que no se encuentra en condiciones óptimas y el paciente refiere sintomatología asociada a ese diente. Además indico la restauración adecuada definitiva lo más pronto posible para evitar recontaminación del conducto nuevamente. Y revaluaciones clínicas y radiográficas del caso, antes de realizar un abordaje quirúrgico. Sobre todo evaluar sí la sintomatología desaparece sólo con realizar el retratamiento no quirúrgico. ".

Participante 15.- " considero que se debe realizar un retratamiento de conducto para lo grar un buen sellado y controlar al paciente realizando seguimiento de la sintomatología y exámenes radiográficos ".

Participante 16.- " Podría considerarse el retratamiento convencional pero con la cirugía apical, y restauración definitiva (en buen estado, que proporcione sellado coronal), para eliminar irritantes del conducto y asegurar sellado del conducto, sellado apical (con una nueva preparación apical y otro material de retroobturacion). Esto, si se opta por realizar algún tipo de tratamiento, aunque la relación corona raíz y el poco soporte óseo del diente 21 pueden contraindicar la cirugía. En caso de realizarse algo, el paciente debera estar consciente y al tanto de que el diente tiene un pronostico de reservado a malo. ".

Participante 17.- " Si consideraría el retratamiento endodóntico del diente, procurando mediante una meticulosa limpieza controlar tanto el factor microbiano como el sellado coronario ".

 

En caso afirmativo ¿ Como orientaría su abordaje endodóntico ? :

Participante 1.- " 1-Aislamiento absoluto, 2-Desinfeccion con tintura de yodo o clorhexidina al 2%, 3-Eliminacion de poste (si lo hay), 4.Eliminacion de la obturación radicular., 5.Terminar el tratamiento, 6.- Cirugía periapical , 7. Colocar injerto de hueso ".

Participante 4.- "aplicando hidróxido de calcio y esperar a la neoformación radicular, que haya buen soporte periodontal y hacer la endodoncia ".

Participante 6.- "Aislamiento de la pieza, Desobturación del conducto, instrumentación con una técnica Crown down, irrigación con hipoclorito de sodio o Clorhexidina al 2 % obturación con técnica de condensación lateral o condensación vertical en caliente. ".

Participante 7.- " El abordaje estaría orientado a tratar de lograr un cierre por medio de pasta a base de hidróxido de calcio, o bien hacer una obturación retrograda ".

Participante 9.- "Otra opción seria abordar por vestibular quirúrgicamente. Obturar el conducto con amalgama sin necesidad de desobturar el conducto ".

Participante 10.- "El ideal sería eliminar la obturación retrógrada, cerrar el ápice con MTA por vía ortograda, caso no se consiga un tope apical conveniente para la guta, y luego obturar con guta termoplastificada. Como la eliminación de la obturación retrógrada será casi ciertamente imposible, sugiero dejar la obturación retrógrada, hacer toda la endodoncia como describí y evaluar la evolución de la paciente. Caso se verifique la continuación de síntomas o señales (como fístula p.e.), sugiero una abordaje quirúrgica, con nueva obturación retrógrada, con MTA. ".

Participante 11.- " A través de la corona ,eliminando el relleno con brocas Gates , de baja velocidad , y estricto control radiográfico . ".

Participante 13.- "Se realizaría primeramente el tratamiento de conductos convencional, para posteriormente realizar un abordaje microquirúrgico del ápice del diente para cambiar el material de obturación apical, por supuesto se tendría que tomar en cuenta la poca relación corona-raíz del diente, que aunque es una contraindicación para una cirugía apical, en este caso no se perdería nada realizandola, ya que la otra alternativa es la extracción del diente. ".

Participante 14.- "Primero retrataría por vía no quirúrgica y esperaría observar la evolución de la sintomatología, que debería desaparecer, en el caso de que la sintomatología persista después de retratar, se pensaría en la posibilidad de eliminar por vía quirúrgica la obturación a retro y volver a obturar pero con SUPER EBA sin realizar apicectomía (solo limpiar con ultrasonido y obturar). Y por supuesto realizar la restauración coronaria adecuada y definitiva lo antes posible para garantizar el sellado coronal. ".

Participante 15.- "el abordaje endodóntico sería a través de la corona, eliminaría el material de restauración por palatino para llegar a la entrada del conducto radicular, desobturaría el conducto con solventes, se realizan lavados con hipoclorito de sodio al 5,25 % y finalmente se obturaría con gutapercha y cemento sellador ".

Participante 16.- " En caso de hacerlo, el retratamiento convencional deberá hacerse lo mas conservador posible, sin debilitar la ya de por si debilitada estructura remanente. Si se hace el retratamiento convencional, se consideraría la posibilidad de mejorar el sellado apical con un nuevo material de retroobturacion, previo curetaje y desbridamiento de la lesión (tejido de granulación), sin resecar la raíz, solo mejorar la preparación y sellar apicalmente ".

Participante 17.- " Realizaría el retratamiento endodóntico ( a nivel apical en realidad no sería tan predecible la conducta clínica, debido a que se encuentra un material obtuador metálico el cual no sabemos que tan ajustado se encuentra) por lo que muy probablemente planificaría el abordaje quirúrgico lo más pronto posible, donde eliminaría el material obturador a retro, verificaría y ajustaría la cavidad apical y probablemente utilizaría un material como el MTA para sellar la zona apical ".

 

En caso negativo ¿ Como solucionaría el caso ?:

Participante 3.- "Bueno...Es difícil realmente afirmar, pero aparentemente la reabsorción cementodentinaria se ha presentado, incluso el espacio que ocupa el ligamento pariodontal en las paredes laterales de la raíz se ve aumentado, por lo que suponemos que pudiera estar en trauma de oclusión. Primero por la angulación y posición dentaria. Segundo no tenemos la certeza de que no sea bruxista. Es problable que la sensibilidad a dicha percusión se deba a la inflamación del ligamento periodontal. ".

Participante 4.- "con exodoncia ".

Participante 5.- " creo que debería pensar en la posibilidad de un implante ".

Participante 8.- "Realizaría uma distração dentária, permitindo a formação óssea da região, preparando assim o local para receber um futuro implante . ".

Participante 12.- "En mi opinión, le realizaría la extracción del diente, ya que como comente en la pregunta anterior, ya no le queda casi raíz, y precisamente el objetivo de todo tratamiento de conductos sl la limpieza y conformación del sistema de conductos radicular y no le queda sino como 5mm de conducto radicular, por lo tanto no vale la pena inclusive ese diente tiene menos estructura radicular que el 11. y siempre se vería oscuro y no se le podría realizar luego una corona, porque va a ser demasiada carga para un diente con una estructura radicular insuficiente. ".

 

Comentarios adicionales

Participante 2.- " Por encima del límite entre encía libre y adherida a la altura del central en cuestión se ve una aparente fibrosis o cicatriz de fístula.".

Participante 3.- "Es probable que ferulizandolo mejore la situación actual del ligamento periodontal y colocando Guarda Oclusal. Podría disminuir la movilidad si es que existe. ".

Participante 6.- "La persistencia de los síntomas nos indicaría la necesidad de complementar con un tratamiento quirúrgico. Apicoplastia ".

Participante 8.- "Respeito as opiniões que levem o paciente a permanecer com os referidos dentes, mas acredito que antecipar situações, realizando um procedimento periodontal (distração dentária) darão ao paciente melhores condições de saúde, objetivo primordial no tratamento de qualquer ser humano. ".

Participante 13.- "este caso amerita consideraciones especiales debido a la poca relación corona-raiz, por lo que habría que eliminar cualquier tipo de contacto oclusal, y tener al diente en observación, ya que su pronóstico el reservado, por el poco soporte periodontal, y al realizar la cirugía apical vamos a afectar aún mas este soporte, por lo cual al realizar este procedimiento se debe contar con la aprobación absoluta del paciente, conociendo este los resultados que se puedan esperar en cuanto a la evolución del caso. ".

Participante 14.- " Es un caso muy interesante, en el cual el paciente tiene que estar involucrado y explicarle lo complejo que es la situación, ya que debe colaborar con nosotros como lo ha venido haciendo para garantizar el éxito a largo plazo del tratamiento. ".

Participante 15.- "en este caso realizaría el retratamiento endodóntico y controlo al paciente si persiste la sintomatología realizaría una cirugía exploratoria ".

Participante 17.- " Aunque la relación de longitud corona-raíz está disminuida, debemos considerar que el diente presenta unos 20 años en esa condición, y la corona no presenta mayor perdida de estructura, por lo que no considero la necesidad de retención inraradicular ni mayor problema para la restauración definitiva y sellado coronario del diente. ".

 

Nuestra actitud frente al caso :

En nuestra opinión, si bien el caso muestra indicadores que a primera vista complican tanto la situación como el pronóstico general del caso, no encontramos por el contrario razones de peso que nos hagan razonable indicar la exodoncia del diente.

cccc
cccc
En el deseo de mantener el diente en boca y tratar la lesión periradicular de origen dental, nos proponemos en primera instancia abordar nuevamente el conducto para rehacer el tratamiento endodóntico.

cccccccccccccccc

Esta secuencia de imágenes clínicas nos permite detalla tanto el abordaje como el contenido del espacio pulpar. Se remueve e inmediatamente queda visible el extremo apical del conducto, en este caso relleno con amalgama de su cirugía previa.

cccccccc cccccccccccccccccccccccc

Los procedimientos que se hacen en el interior de este diente hacen énfasis en la remoción de irritantes y la desinfección de este espacio. Se utiliza NaOCl (6%) y Gluconato de Clorhexidina (2%)
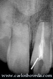
Vista detallada de la preparación ejecutada. En este momento el problema viene dado por la presencia de la amalgama apical y por la facilidad de un eventual desalojo de la misma en el caso que se generen fuerzas verticales sobre su eje. Además, la longitud radicular nos hace pensar en lo inadecuado que pudiera ser utilizar gutapercha si se pretende obtener un sellado endodóntico confiable. Estas y otras consideraciones nos hacen decidir colocar MTA a través del conducto como material de obturación.

cccccccccccccccccccccccccccc

Una vez colocado el MTA se sella con un bloque de vidrio ionomérico tipo I.
cccccccccccccccccccccccccccc
Por último, el abordaje coronal se protege provisionalmente con un cemento no eugenólico. Inmediatamente se toman las vistas radiográficas una vez ejecutado el retratamiento endodóntico en 1 sesión.

El caso se mantiene asintomático, por lo que se refiere para nueva restauración y se hace el primer control a los 6 meses.(restauradora por el Dr. Tomás J. Seif R. - tseif@cantv.net). Aquí se pueden comparar las imágenes iniciales y las del primer control.

Imágenes clínica y radiográfica de control a los 12 meses.

Regreso al Foro de Endodoncia Interactiva

 

 Carlos Bóveda Z., Mayo 2002
 carlosboveda@carlosboveda.com